Kobieta została postrzelona w klatkę piersiową. Przeżyła dzięki implantom

Lekarze z Kanady opisują historię 30-letniej kobiety, która została postrzelona w klatkę piersiową. Twierdzą, że dzięki implantom piersi, udało jej się przeżyć.

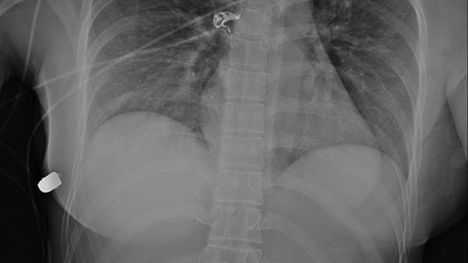
Kobieta przeżyła dzięki implantom piersi.
Źródło zdjęć: © Plastic Surgery Case Studies

30-letnia kobieta została postrzelona na ulicy w Toronto. Pojechała na lokalny oddział ratunkowy. Lekarze zauważyli, że miała widoczną ranę postrzałową na lewej piersi.

Dalsze badania wykazały jednak, że kula znajdowała się po prawej stronie klatki piersiowej. Lekarze ustalili, że kula przeszła przez lewy implant, a później trafiła w prawy z taką siłą, że obróciła go do góry nogami.

Kobiecie usunięto oba implanty piersi, ale poza złamanym żebrem, nic się jej nie stało. Lekarze doszli do wniosku, że życie kobiety prawdopodobnie zostało uratowane przez silikonowe implanty, które spowolniły pocisk.

Według raportu opublikowanego w czasopiśmie "Plastic Surgery Case Studies", policji nie udało się odnaleźć broni, ani ustalić, kto strzelił do kobiety. Autorzy publikacji powołują się na cztery inne artykuły dotyczące postrzelenia kobiet, które miały implanty piersi. Wszystkie pacjentki przeżyły, a lekarze stwierdzili, że dwóm z nich implanty mogły uratować życie.

Zobacz także: Mleko a rak piersi. Naukowcy ostrzegają. Niepokojące wyniki badań

Masz newsa, zdjęcie lub filmik? Prześlij nam przez dziejesie.wp.pl.

Wybrane dla Ciebie
Wyniki Lotto 02.01.2026 – losowania Euro Jackpot, Multi Multi, Ekstra Pensja, Ekstra Premia, Mini Lotto, Kaskada
Wyniki Lotto 02.01.2026 – losowania Euro Jackpot, Multi Multi, Ekstra Pensja, Ekstra Premia, Mini Lotto, Kaskada
Śmiertelny atak pumy w Kolorado. To pierwszy taki przypadek od lat
Śmiertelny atak pumy w Kolorado. To pierwszy taki przypadek od lat
Policjanci publikują wideo. Czy ktoś im pomoże? "Nietypowa sprawa"
Policjanci publikują wideo. Czy ktoś im pomoże? "Nietypowa sprawa"
Dopiero zaczynał karierę w policji. Spowodował wypadek. Miał 2 promile
Dopiero zaczynał karierę w policji. Spowodował wypadek. Miał 2 promile
Christian Mansell: Walka z ADHD i powrót do wyścigów
Christian Mansell: Walka z ADHD i powrót do wyścigów
Niemcy ruszyli nad Bałtyk. Ponad 30 kg. "Szaleństwo" na plażach
Niemcy ruszyli nad Bałtyk. Ponad 30 kg. "Szaleństwo" na plażach
Tak zakończyło się odśnieżanie parku w Łodzi. "Kto teraz zapłaci za naprawę?"
Tak zakończyło się odśnieżanie parku w Łodzi. "Kto teraz zapłaci za naprawę?"
Chaos na lotnisku w Australii. Pijany pasażer wbiegł na pas startowy
Chaos na lotnisku w Australii. Pijany pasażer wbiegł na pas startowy
Pod psem załamał się lód. Akcja strażaków na Kanale Żerańskim
Pod psem załamał się lód. Akcja strażaków na Kanale Żerańskim
Polak ranny w pożarze. Wieści ze Szwajcarii. MSZ informuje
Polak ranny w pożarze. Wieści ze Szwajcarii. MSZ informuje
5-latka zginęła podczas zabawy w hamaku. 41-latek usłyszał zarzuty
5-latka zginęła podczas zabawy w hamaku. 41-latek usłyszał zarzuty
Leśnicy są bezwzględni. Zakaz wstępu do lasu. "Prosimy o zrozumienie"
Leśnicy są bezwzględni. Zakaz wstępu do lasu. "Prosimy o zrozumienie"