Połknął telefon. Lekarze przecierali oczy ze zdumienia

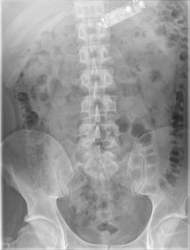
Mężczyzna osadzony w więzieniu w Dublinie trafił do szpitala w Tallaght, bo źle się poczuł. Wyniki badania rentgenowskiego wprawiły personel medyczny w osłupienie.

Obraz
Źródło zdjęć: © International Journal of Surgery Case Reports

Wydaje się to niemożliwe, jednak 29-latek zadziwił lekarzy. Więzień zdołał przełknąć telefon komórkowy w całości! Osadzony poczuł się źle i gdy wymioty nie ustępowały przez kilka godzin, został zabrany do szpitala. Gdy przyznał się, co zrobił, lekarze byli zaskoczeni.

Generated on January 30, 2016, 1:08 pm
© International Journal of Surgery Case Reports

Medycy bezskutecznie próbowali wyłowić telefon. Za pomocą specjalnych chwytaków dołączonych do kamerki przez gardło dotarli do żołądka. Mężczyzna został zabrany na salę operacyjną. Szczegóły zostały opisane w międzynarodowym czasopismie dokumentującym przypadki chirurgiczne.

Lekarze przeprowadzili laparotomię. Twierdzą, że to rzadki przypadek ze względu na rozmiary telefonu, choć połknięcie ciała obcego wśród więźniów zdarza się dosyć często.

Obraz
© International Journal of Surgery Case Reports

Do końca nie jest jasne, jak i dlaczego więzień połknął telefon. Wiadomo tylko, że miał problemy ze zdrowiem psychicznym.

Autor: Sylwia Owca

Teraz serce internetu w jednej aplikacji. Bądź na bieżąco i pobierz w Google Play albo App Store.

Wybrane dla Ciebie
Polscy astronomowie dokonali przełomowego odkrycia. Chodzi o nową planetę
Polscy astronomowie dokonali przełomowego odkrycia. Chodzi o nową planetę
Rok 2026 droższy dla Polaków. Takie będą podwyżki
Rok 2026 droższy dla Polaków. Takie będą podwyżki
Spektakularne zjawisko na Bałtyku. Góry lodowe powracają
Spektakularne zjawisko na Bałtyku. Góry lodowe powracają
Zginęły dziesiątki osób. Ujawnili nowe zdjęcie. To początek koszmaru
Zginęły dziesiątki osób. Ujawnili nowe zdjęcie. To początek koszmaru
Kulisy relacji USA i Ukrainy. Co ujawnili amerykańscy wojskowi?
Kulisy relacji USA i Ukrainy. Co ujawnili amerykańscy wojskowi?
Ujęli pijanego kierowcy BMW. Miał dożywotnie zakazy
Ujęli pijanego kierowcy BMW. Miał dożywotnie zakazy
Wolontariuszka WOŚP zginęła w noc sylwestrową. Kim była 37-letnia Anita?
Wolontariuszka WOŚP zginęła w noc sylwestrową. Kim była 37-letnia Anita?
"15 serduszek nie wytrzymało". Dramatyczny wpis po sylwestrze
"15 serduszek nie wytrzymało". Dramatyczny wpis po sylwestrze
180 osób uwięzionych w pociągu. Tak zachowała się policja. Nagranie
180 osób uwięzionych w pociągu. Tak zachowała się policja. Nagranie
Zginęła wolontariuszka WOŚP. Jest poruszający wpis
Zginęła wolontariuszka WOŚP. Jest poruszający wpis
Wyniki Lotto 01.01.2026 – losowania Lotto, Lotto Plus, Multi Multi, Ekstra Pensja, Ekstra Premia, Mini Lotto, Kaskada
Wyniki Lotto 01.01.2026 – losowania Lotto, Lotto Plus, Multi Multi, Ekstra Pensja, Ekstra Premia, Mini Lotto, Kaskada
Ujęcie z 1 stycznia. "Często wpada". Leśnicy komentują
Ujęcie z 1 stycznia. "Często wpada". Leśnicy komentują