Poszli z tym do lekarza. Niewiarygodne, jak się tłumaczyli

Obraz
Źródło zdjęć: © imgur.com
Kamil Karnowski

/ 8Coś mnie boli...

Obraz
© imgur.com

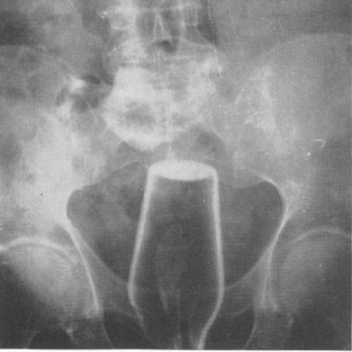
Lekarze, do których przyszli ci pacjenci na pewno nie mogli uwierzyć w to, co zobaczyli na zdjęciach. Jeszcze dziwniejsze były tłumaczenia. Ten pacjent, u którego znaleziono butelkę tłumaczył, że potknął się w okolicach śmietnika i naczynie samo dostało się do jego odbytu.

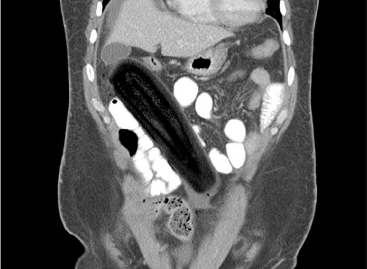
/ 8Słoik z kawą

Obraz
© imgur.com

Podobno pacjent był tak zawstydzony, że nawet nie próbował się tłumaczyć.

/ 8Żarówka

Obraz
© imgur.com

Ponoć wpadła tam przypadkowo. Ale okoliczności pacjent nie chciał zdradzić...

/ 8Dziecięca zabawka

Obraz
© imgur.com

To figurka Buzza Astrala z "Tpy Stpry". Widocznie wpadł nie do tego kosmosu...

/ 8Cukinia

Obraz
© imgur.com

Ciekawe, co to był za przepis... Pacjentka tłumaczyła, że to miał być kulinarny eksperyment.

/ 8Żywy węgorz

Obraz
© imgur.com

Pacjent tłumaczył, że miał pomóc mu w trawieniu.

/ 8Dezodorant

Obraz
© imgur.com

Pacjent tłumaczył, że chciał w ten sposób naprawić nieprzyjemny zapach.

/ 8Telefon komórkowy

Obraz
© imgur.com

Ponoć ktoś zapomniał się przy zabawie wibracjami...

Widziałeś lub słyszałeś coś ciekawego? Poinformuj nas, nakręć film, zrób zdjęcie i wyślij na redakcjao2@grupawp.pl.

Wybrane dla Ciebie
Policjanci interweniowali w domu zakonnic. Jest komentarz z policji
Policjanci interweniowali w domu zakonnic. Jest komentarz z policji
"Leśne randki". Aż rozbłysły im oczy. Leśnicy złapali na fotopułapce
"Leśne randki". Aż rozbłysły im oczy. Leśnicy złapali na fotopułapce
Dramat mieszkańców Gdańska. "Woda leje się z sufitu, po ścianach, z lamp"
Dramat mieszkańców Gdańska. "Woda leje się z sufitu, po ścianach, z lamp"
Takiej sytuacji nie było od 1886 r. Rekordowy spadek poziomu wody w Bałtyku
Takiej sytuacji nie było od 1886 r. Rekordowy spadek poziomu wody w Bałtyku
Poraniony i ledwo żywy. Ktoś skatował królika. Szukają oprawcy
Poraniony i ledwo żywy. Ktoś skatował królika. Szukają oprawcy
Największe zoo w Polsce nadal pozostaje zamknięte. Podano powód
Największe zoo w Polsce nadal pozostaje zamknięte. Podano powód
Epstein miał obsesję. Córka miss nazywała go "wujkiem". "Chciał ją poślubić"
Epstein miał obsesję. Córka miss nazywała go "wujkiem". "Chciał ją poślubić"
Ukradł tablicę rejestracyjną. Powiesił ją nad rodzinnymi zdjęciami
Ukradł tablicę rejestracyjną. Powiesił ją nad rodzinnymi zdjęciami
Aż zatrzymali samochód. W ogóle się nie boją. Już ponad 120 tys. odsłon
Aż zatrzymali samochód. W ogóle się nie boją. Już ponad 120 tys. odsłon
Policja odzyskała "głowę" rycerza. Zatrzymano też podejrzanych
Policja odzyskała "głowę" rycerza. Zatrzymano też podejrzanych
Nie wpuścił strażników miejskich do domu. Sprawa trafi do sądu
Nie wpuścił strażników miejskich do domu. Sprawa trafi do sądu
Najdłuższy dziki wąż odkryty w Indonezji. Guinness potwierdził rekord
Najdłuższy dziki wąż odkryty w Indonezji. Guinness potwierdził rekord