Zjadł niedogotowane mięso. Szokujące skutki odczuł po miesiącu

Niedogotowane mięso przyczyną koszmarnych dolegliwości u mężczyzny, który je zjadł. Kiedy zgłosił się do lekarzy, skarżył się na tak wiele dolegliwości, że medycy nie wiedzieli, od czego zacząć. Dokładne badanie wykazało setki tasiemców w mózgu i klatce piersiowej mężczyzny.

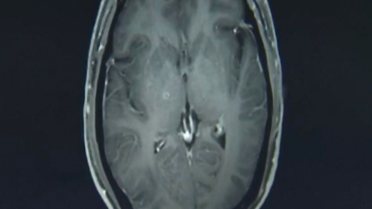
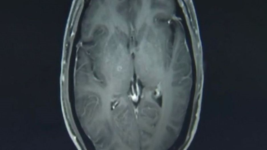
Obraz
Źródło zdjęć: © Zhejiang University School of Medicine)

43-letni mężczyzna z Chin zgłosił się do szpitala z szeregiem różnych dolegliwości. Od kilku tygodni cierpiał na silne bóle głowy, nudności. Kilka razy stracił przytomność, miał także napady padaczkowe.

Lekarze przeprowadzili szereg badań mózgu. Wyniki ujawniły uszkodzenia spowodowane obecnością larw tasiemca.

Zhu Zhong-fa został objęty opieką oddziału chorób zakaźnych. Dodatkowe skany ujawniły jeszcze więcej pasożytów w innych częściach ciała. Najwięcej było ich w klatce piersiowej. Łącznie mężczyzna miał w sobie ponad 700 larw tasiemca.

Zobacz takze: Organizm pełen pasożytów

Chińczyk przyznał się, że miesiąc wcześniej spożywał wieprzowinę, która była niedogotowana. Prawdopodobnie w ten sposób jaja tasiemca zostały przeniesione do organizmu. Zhu dostał odpowiednie leki przeciwpasożytnicze i po tygodniu już czuje się lepiej. Wciąż jednak wymagane jest dalsze leczenie.

Jaja tasiemca są przenoszone w kale zakażonych zwierząt. Są mikroskopijnej wielkości. Tasiemce mogą urosnąć nawet do 20 metrów i wyprodukować 50 tys. jaj w ciągu swojego życia. Niektóre z nich są bardzo niebezpieczne nie tylko dla zdrowia, ale i życia ludzkiego.

Masz newsa, zdjęcie lub filmik? Prześlij nam przezdziejesie.wp.pl.

Wybrane dla Ciebie
Wyniki Lotto 01.01.2026 – losowania Lotto, Lotto Plus, Multi Multi, Ekstra Pensja, Ekstra Premia, Mini Lotto, Kaskada
Wyniki Lotto 01.01.2026 – losowania Lotto, Lotto Plus, Multi Multi, Ekstra Pensja, Ekstra Premia, Mini Lotto, Kaskada
Ujęcie z 1 stycznia. "Często wpada". Leśnicy komentują
Ujęcie z 1 stycznia. "Często wpada". Leśnicy komentują
Dramat rodzin po pożarze. Bez przerwy szukają bliskich. "Straszny moment"
Dramat rodzin po pożarze. Bez przerwy szukają bliskich. "Straszny moment"
Kto po Trumpie? Ruszyła giełda nazwisk. Wskazali faworyta
Kto po Trumpie? Ruszyła giełda nazwisk. Wskazali faworyta
Ratował ludzi w szwajcarskim barze. "Płonęli żywcem"
Ratował ludzi w szwajcarskim barze. "Płonęli żywcem"
Leżał skulony na lodzie. Takiego finału akcji nikt się nie spodziewał
Leżał skulony na lodzie. Takiego finału akcji nikt się nie spodziewał
Rosja powiększy siły nad Bałtykiem? "Będzie przemieszczać zasoby"
Rosja powiększy siły nad Bałtykiem? "Będzie przemieszczać zasoby"
Straż Graniczna nie odpuszcza. Sypią się deportacje. Z 266 aż 200 to Ukraińcy
Straż Graniczna nie odpuszcza. Sypią się deportacje. Z 266 aż 200 to Ukraińcy
Pożar w Szwajcarii. Wideo wyciekło do sieci. Drastyczne sceny
Pożar w Szwajcarii. Wideo wyciekło do sieci. Drastyczne sceny
Taki widok w Nowy Rok. Piszą, co wypadło z auta. Zdjęcie z Gliwic
Taki widok w Nowy Rok. Piszą, co wypadło z auta. Zdjęcie z Gliwic
Leśnicy wyszli na obchód. Nagle je zauważyli. "Śnieg odsłonił"
Leśnicy wyszli na obchód. Nagle je zauważyli. "Śnieg odsłonił"
Nietypowa kolęda na Śląsku. Księża wprowadzili obowiązkowe zaproszenia
Nietypowa kolęda na Śląsku. Księża wprowadzili obowiązkowe zaproszenia