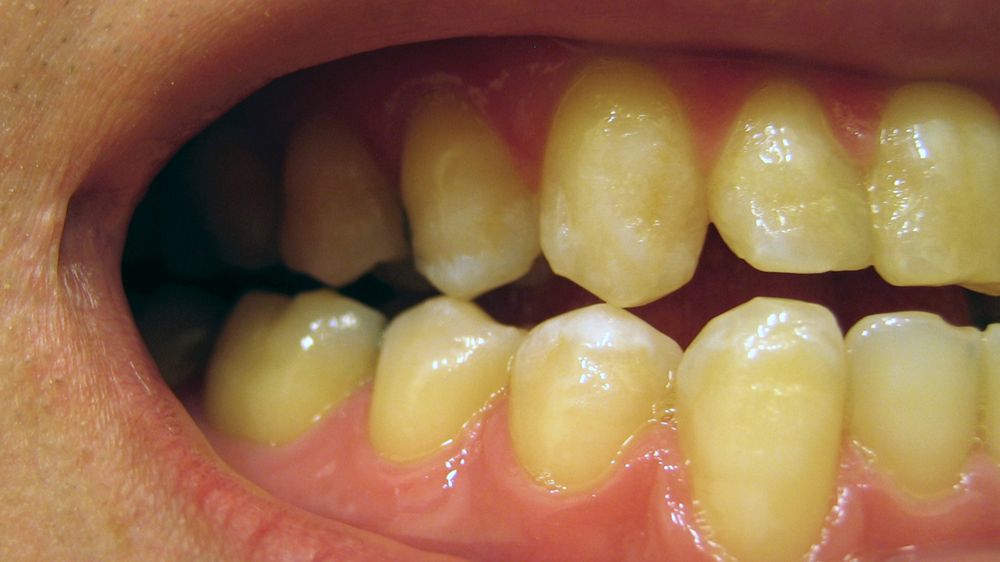
To jedzenie i napoje najmocniej barwią zęby

Obraz
Źródło zdjęć: © Wikimedia Commons CC BY

/ 9Pamiętaj, jedzenie barwi

Obraz
© Pixabay.com

Dbając o zęby trzeba pamiętać o regularnym i dokładnym szczotkowaniu. Jeśli jednak chcecie zachować biel, takie codzienne zabiegi nie wystarczą. Należy zwrócić uwagę na swoją dietę. To co jemy, ma ogromny wpływ na kolor naszych zębów. Zobaczcie, czego unikać, żeby świecić przykładem.

/ 9Kawa

Obraz
© Pixabay.com

Lepiej darujcie ją sobie albo chociaż ograniczcie. Kawa zawiera bowiem taniny czyli związki, które powodują poważne plamy. Nie tylko na ubraniach, ale i na zębach. Do tego kawa ma też kwasowy odczyn, więc niszczy szkliwo.

/ 9Kwaśne owoce

Obraz
© Pixabay.com

Kwasy zawarte w nich niszczą szkliwo. Przez to odsłaniana jest zębina, która ma żółtawy kolor. Im więcej jej przebija przez coraz cieńsze szkliwo, tym mniej białe zęby.

/ 9Herbata

Obraz
© Pixabay.com

Jeśli się przejmujecie, pijcie słabszą. Wtedy herbata jest jaśniejsza i nie wpływa tak na kolor zębów.

/ 9Słodycze

Obraz
© Pixabay.com

Lubicie cukierki zmieniające kolor języka? Lepiej ich unikajcie. Jeśli bowiem zabarwią język, mogą też zmienić kolor waszych zębów.

/ 9Napoje energetyczne

Obraz
© Pixabay.com

Smakują, dodają energii, ale też niekorzystnie wpływają na nasze zęby. Są bowiem kwasowe przez obecny w nich kwas cytrynowy. Picie ich niszczy zatem szkliwo.

/ 9Wino

Obraz
© Pixabay.com

Ostry kolor, kwasowy odczyn i taniny – wszystko to niekorzystnie wpływa na barwę zębów. Białe wino jest tylko nieco lepsze. W jego przypadku kolor nie zabarwia zębów.

/ 9Cola

Obraz
© Pixabay.com

Tutaj istotne jest nie tylko to, że cola jest kwaśna. Ma bowiem barwniki, które nasze szkliwo pochłania. Potem żeby są brązowe lub żółte. Lepiej unikajcie takich napojów.

/ 9Curry i sosy pomidorowe

Obraz
© Pixabay.com

Tutaj istotny jest kwasowy odczyn i ostre kolory. Jeśli chcecie uniknąć zabarwienia zębów, po jedzeniu dobrze przepłuczcie usta.

Widziałeś lub słyszałeś coś ciekawego? Poinformuj nas, nakręć film, zrób zdjęcie i wyślij na redakcjao2@grupawp.pl.

Wybrane dla Ciebie
Dostałeś takiego maila? Lepiej uważaj. Ministerstwo Finansów ostrzega
Dostałeś takiego maila? Lepiej uważaj. Ministerstwo Finansów ostrzega
MŚ 2026. Znamy potencjalnych rywali polskiej reprezentacji
MŚ 2026. Znamy potencjalnych rywali polskiej reprezentacji
Ukrywał się w Alicante. Hiszpańska policja zatrzymała 47-letniego Polaka
Ukrywał się w Alicante. Hiszpańska policja zatrzymała 47-letniego Polaka
FIFA nagrodziła Donalda Trumpa. "Wyjątkowe działania na rzecz pokoju"
FIFA nagrodziła Donalda Trumpa. "Wyjątkowe działania na rzecz pokoju"
Pentagon stawia ultimatum Europie? Padła konkretna data
Pentagon stawia ultimatum Europie? Padła konkretna data
"Jak kadr z filmu kryminalnego". Pokazali, co znaleźli w lesie
"Jak kadr z filmu kryminalnego". Pokazali, co znaleźli w lesie
Katastrofalne skutki cyklonu na rajskiej wyspie. Wciąż szukają 214 osób
Katastrofalne skutki cyklonu na rajskiej wyspie. Wciąż szukają 214 osób
Drony nad bazą atomowych okrętów podwodnych. Francuskie wojsko otworzyło ogień
Drony nad bazą atomowych okrętów podwodnych. Francuskie wojsko otworzyło ogień
Dwulatek wpadł do szamba. Teraz szpital przekazał dobre wieści
Dwulatek wpadł do szamba. Teraz szpital przekazał dobre wieści
Krzyżówka z wiedzy ogólnej. Tylko mistrz odkryje wszystkie hasła
Krzyżówka z wiedzy ogólnej. Tylko mistrz odkryje wszystkie hasła
Rodzinny spacer zmienił się w dramat. Dzieci pochylały się nad ojcem
Rodzinny spacer zmienił się w dramat. Dzieci pochylały się nad ojcem
Policja przyłapana. "To będzie podwójna kara". Ostra reakcja
Policja przyłapana. "To będzie podwójna kara". Ostra reakcja