Skarżył się na zaparcia. Niebywałe, co lekarze znaleźli w jego ciele

Pewien pacjent zgłosił się do lekarza z dość przykrymi dolegliwościami. Cierpiał na zaparcia i nie był w stanie oddać moczu. Temu wszystkiemu towarzyszyły poważne dolegliwości bólowe. Lekarze nie kryli zaskoczenia, kiedy odkryli przyczynę problemu. Tego nikt się nie spodziewał.

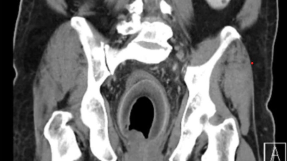
W ciele pacjenta znaleziono ciało obce. Konieczna była operacjaW ciele pacjenta znaleziono ciało obce. Konieczna była operacja
Źródło zdjęć: © British Journal of Surgery
Anna Wajs-Wiejacka

Mężczyzna próbował uporać się z uciążliwymi dolegliwościami za pomocą domowych sposobów. Niestety żadna z metod nie przyniosła ulgi. Kiedy problemy zdrowotne zaczęły się nasilać, zdecydował się zgłosić na ostry dyżur. Tam lekarze wykonali diagnostykę obrazową, która pozwoliła odkryć przyczynę problemów zdrowotnych pacjenta.

Lekarze nie kryli zaskoczenia tym, co ujawniły wyniki badań. Okazało się, że w odbytnicy mężczyzny znajduje się sporych rozmiarów ciało obce. Nie tylko wywoływało zaparcia, ale także uciskało na cewkę moczową, powodując problemy z oddawaniem moczu i dolegliwości bólowe.

Konieczne okazało się przeprowadzenie zabiegu operacyjnego u 59-latka. Chirurdzy wyjęli z ciała operowanego pacjenta kokos mierzący 9 cm długości. "China Times" przekazał, że pęcherz mężczyzny był na skraju pęknięcia. Cofający się mocz spowodowało, że rozszerzył się do około 2000 cm sześciennych.

Dalsza część artykułu pod materiałem wideo

Odwiedził kraj na drugim końcu świata. "Kawa i benzyna tańsze niż w Polsce"

Lokalne media relacjonują, że operowany mężczyzna został zapytany, w jaki sposób kokos znalazł się w jego ciele. To jednak zostanie jego tajemnicą, bo mimo namów nie zdecydował się zdradzić tych okoliczności.

Co lekarze znajdują w ciałach pacjentów?

Lekarze znajdowali w ludzkim ciele wiele zaskakujących przedmiotów. W 2016 roku media obiegła informacja o 28-letnim wówczas Artyomie Sidorkinie, który trafił do lekarza z bólem w klatce piersiowej. Mężczyzna cierpiał również z powodu uporczywego kaszlu, któremu towarzyszyła krew.

Lekarze wykonali prześwietlenie i uznali, że najprawdopodobniej ma raka. Zdecydowano się na zabieg usunięcia zmiany. Okazało się, że pacjent nie miał raka, ale w jego ciele znajdowała się 5-centymetrowa choinka.

Zdarza się, że w ciele pacjenta ciało obce zostaje po zabiegu chirurgicznym. Tak było w przypadku Sylvie Dubé, która po zabiegu histerektomii odczuwała silne bóle brzucha. Lekarze uspokajali ją, że to normalne po zabiegu. Kiedy jednak dolegliwości nie ustępowały, zdecydowano się zrobić prześwietlenie.

Wybrane dla Ciebie
Wyniki Lotto 25.12.2025 – losowania Lotto, Lotto Plus, Multi Multi, Ekstra Pensja, Ekstra Premia, Mini Lotto, Kaskada
Wyniki Lotto 25.12.2025 – losowania Lotto, Lotto Plus, Multi Multi, Ekstra Pensja, Ekstra Premia, Mini Lotto, Kaskada
"Był doświadczonym pilotem". Nie żyje Krzysztof Kurcab
"Był doświadczonym pilotem". Nie żyje Krzysztof Kurcab
Świąteczna magia w Krakowie. Żywa szopka prawdziwym hitem
Świąteczna magia w Krakowie. Żywa szopka prawdziwym hitem
Polska medalistka olimpijska urodziła. Urocze zdjęcie z córeczką
Polska medalistka olimpijska urodziła. Urocze zdjęcie z córeczką
Niemcy ostrzegają. Chodzi o numery z kierunkowym +48
Niemcy ostrzegają. Chodzi o numery z kierunkowym +48
Pożary w wigilijną noc. Dwa domy spłonęły na Podlasiu
Pożary w wigilijną noc. Dwa domy spłonęły na Podlasiu
Doprowadzenie Bartosza G. w Boże Narodzenie. Zaskakujące działania prokuratury
Doprowadzenie Bartosza G. w Boże Narodzenie. Zaskakujące działania prokuratury
Rewolucja w szpitalu. Pacjenci spędzają święta ze swoimi pupilami
Rewolucja w szpitalu. Pacjenci spędzają święta ze swoimi pupilami
Wyjątkowe znalezisko w Szwecji. Ukryto je w książce polskiego szlachcica
Wyjątkowe znalezisko w Szwecji. Ukryto je w książce polskiego szlachcica
Była 8:16. Tak wyglądają Krupówki w Boże Narodzenie. Zaskakujący widok
Była 8:16. Tak wyglądają Krupówki w Boże Narodzenie. Zaskakujący widok
"Brama otwarta". Dom na Śląsku hitem sieci. Tak wygląda
"Brama otwarta". Dom na Śląsku hitem sieci. Tak wygląda
Kadry z głębi lasu. Nagle wyszły na ścieżkę i się zaczęło
Kadry z głębi lasu. Nagle wyszły na ścieżkę i się zaczęło