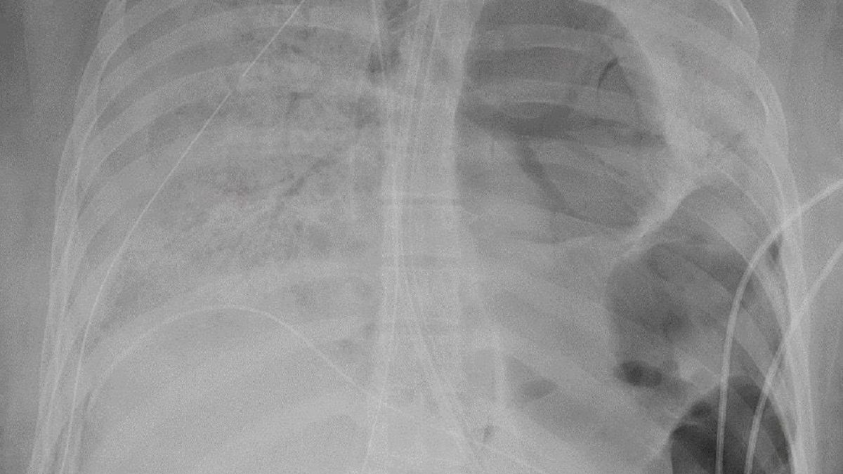
Przez koronawirusa miała płuca pełne dziur. Operacja trwała 10 godzin

Lekarze w USA uratowali życie 20-letniej pacjentce, której płuca zostały doszczętnie zniszczone przez koronawirusa. Teraz, po przejściu skomplikowanej operacji, kobieta ma w pełni wyzdrowieć. To nasza #DziennaDawkaDobregoNewsa.

Koronawirus. Pacjentka miała zniszczone płucaKoronawirus zniszczył jej płuca. Pacjentka wróci do zdrowia
Dagmara Smykla-Jakubiak

Chirurdzy z Chicago są pełni optymizmu. 20-letnia pacjentka przeszła przeszczep obu płuc po tym, jak koronawirus doszczętnie je zniszczył. Wcześniej przez prawie dwa miesiące była utrzymywana przy życiu dzięki kilku urządzeniom, w tym respiratorowi.

Koronawirus zostawił pacjentkę z podziurawionymi płucami. Organy były praktycznie w zaniku i dlatego lekarze zdecydowali się na trudną operację przeszczepu. Wcześniej upewnili się, że 20-latka całkowicie wyzdrowiała z COVID-19.

10-godzinna operacja była trudna, ponieważ przez wirusa jej płuca były pełne dziur i prawie wtopiły się w ścianę klatki piersiowej - powiedział dr Ankit Bharat, prowadzący operację.

Koronawirus zniszczył jej płuca. 20-latka wróci do normalnego życia

Operację przeprowadzono w zeszły piątek, jednak dopiero w czwartek lekarze odetchnęli z ulgą i ogłosili sukces. 20-letnia pacjentka jest wciąż podłączona do dwóch urządzeń na czas rekonwalescencji, ale lekarze podkreślają, że ma ogromne szanse na powrót do normalnego życia.

Oczekujemy, że w pełni wyzdrowieje - powiedział dr Rade Tomic, pulmonolog z Northwestern Memorial Hospital.

Szpital nie ujawnił tożsamości pacjentki. Wiadomo jedynie, że 20-latka przeprowadziła się niedawno z Karoliny Północnej do Chicago, żeby zamieszkać ze swoim chłopakiem. Początkowo wydawało się, że przejdzie koronawirusa praktycznie bezobjawowo, ale potem jej stan gwałtownie się pogorszył - informuje Associated Press.

Zobacz też: Pierwsza pomoc w czasie pandemii. Jak jej udzielać, by się nie zarazić?

Źródło artykułu: o2pl
Wybrane dla Ciebie
6-latka na sankach. Dziecko wjechało prosto przed samochód
6-latka na sankach. Dziecko wjechało prosto przed samochód
Niedziele handlowe 2026. Długa jesienna przerwa
Niedziele handlowe 2026. Długa jesienna przerwa
Krzyżówka dla znawców sztuki. Tylko mistrz odkryje wszystkie hasła
Krzyżówka dla znawców sztuki. Tylko mistrz odkryje wszystkie hasła
Pokazali jak wygląda dworzec kolejowy w Mławie. "Nie było widać schodów"
Pokazali jak wygląda dworzec kolejowy w Mławie. "Nie było widać schodów"
Pamiętasz "Janosika"? Sprawdź się w krzyżówce z kultowego serialu
Pamiętasz "Janosika"? Sprawdź się w krzyżówce z kultowego serialu
Chiny ostrzegają ws. Tajwanu? Eksperci obalają mit
Chiny ostrzegają ws. Tajwanu? Eksperci obalają mit
Przymusowe lądowanie w Krakowie. Świadkowie mówią, co robiła 45-latka
Przymusowe lądowanie w Krakowie. Świadkowie mówią, co robiła 45-latka
7,95 zł za sztukę. Produkt z Action przyda się w każdym domu
7,95 zł za sztukę. Produkt z Action przyda się w każdym domu
Niemcy podali stawkę. I jeszcze taki dopisek. Polacy się rzucili
Niemcy podali stawkę. I jeszcze taki dopisek. Polacy się rzucili
Melania Trump wściekła na modelki. Chodzi o jej syna
Melania Trump wściekła na modelki. Chodzi o jej syna
Generał tłumaczy, jak powstrzymać Putina. Mówi, co ma zrobić Ukraina i Europa
Generał tłumaczy, jak powstrzymać Putina. Mówi, co ma zrobić Ukraina i Europa
Kim Dzong Un na uroczystościach z córką. Pierwsza taka wizyta
Kim Dzong Un na uroczystościach z córką. Pierwsza taka wizyta