13-latek budował domek na drzewie. 15-centymetrowy wkręt wbił się w jego głowę

Obraz
Źródło zdjęć: © Dr. Alan Cohen, Johns Hopkins Hospital

/ 5Milimetr od śmierci

Obraz
© Dr. Alan Cohen, Johns Hopkins Hospital

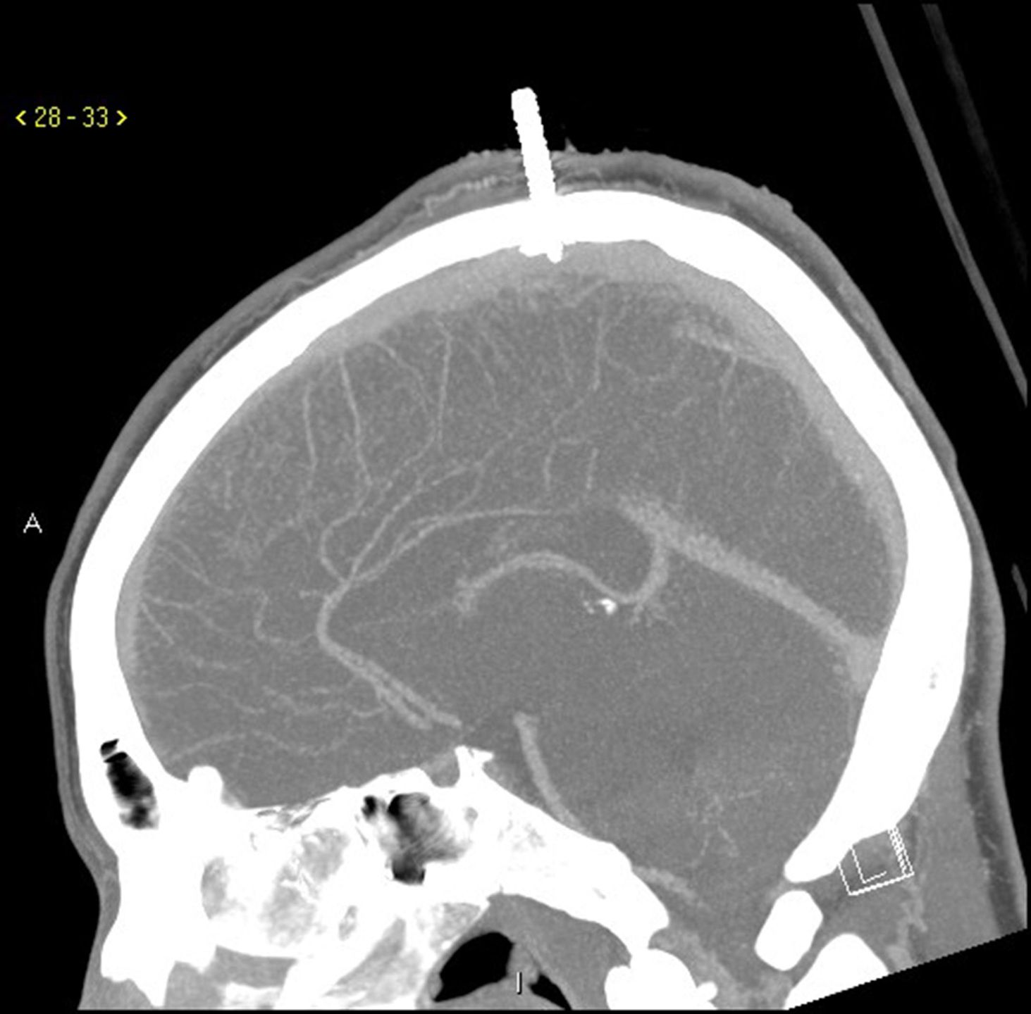
Chłopiec z Maryland w USA przeżył dziwaczny wypadek podczas budowy domku na drzewie. Media w USA opisały właśnie, jak w poprzednią sobotę 13-latka uderzyła w głowę deska, a doczepiony do niej metalowy wkręt przebił mu czaszkę. Darius Foreman konstruował swoją kryjówkę wśród gałęzi drzewa w mieście Salisbury, gdy poślizgnął się i spadł na ziemię, a wraz z nim narzędzia i deski. Jedna z nich nieomal go zabiła. - Myślę, że śmierć była dosłownie o milimetr - stwierdził dr Alan Cohen, szef neurochirurgii na wydziale pediatrii szpitala Johna Hopkinsa w Baltimore.

/ 5Wkręt w głowie

Obraz
© Dr. Alan Cohen, Johns Hopkins Hospital

Dr Cohen dowiedział się od ratujących chłopca strażaków, że deska z gwoździem, która spadła na głowę Dariusa, miała ponad półtora metra długości. Zanim chłopiec trafił do śmigłowca pogotowia udało się ją znacznie skrócić. W ten sposób 13-latek nie wykrwawił się podczas transportu. - On nawet z tą skróconą deską nie był w stanie zmieścić się do pierwszego helikoptera, który przyleciał, więc wezwali drugi, większy - wyjaśnia lekarz.

/ 5Pierwsze - pozbyć się deski

Obraz
© Dr. Alan Cohen, Johns Hopkins Hospital

Chłopca ostatecznie przetransportowano do szpitala Johna Hopkinsa. Operację przeprowadziła żona dr Cohena, która także jest dziecięcym neurochirurgiem. Pierwszym problemem było odczepienie deski od gwoździa. Gdy to się udało zrobić, zmierzono się z czymś dużo trudniejszym, czyli wyciąganiem wkrętu. - Jeżeli byśmy go dosłownie wykręcili, krew byłaby wszędzie - wyjaśnia lekarz.

/ 5Trudna operacja

Obraz
© Dr. Alan Cohen, Johns Hopkins Hospital

Chirurdzy zdecydowali się wyciągnąć wkręt, manipulując nim z boku, od środka czaszki. Wywiercili dwa otwory w głowie chłopca, z lewej i prawej strony wkrętu. Dzięki temu uzyskali dostęp do jego czubka. Uniknięto ryzykownego krwawienia, a otwory w głowie dziecka zasłonięto tytanowymi płytkami.

/ 5Happy end

Obraz
© Dr. Alan Cohen, Johns Hopkins Hospital

Dariusowi podawane są antybiotyki, ale został wypisany ze szpitala po 5 dniach. Dokładnie w dniu swoich 13 urodzin. - W życiu nikt by nie powiedział, że on przeżył coś tak strasznego. Nie widać po nim, że stał milimetr od drzwi do śmierci. To prawdziwa historia ze szczęśliwym zakończeniem - cieszy się dr Alan Cohen.

Wybrane dla Ciebie
Wyniki Lotto 25.03.2026 – losowania Multi Multi, Ekstra Pensja, Ekstra Premia, Mini Lotto, Kaskada
Wyniki Lotto 25.03.2026 – losowania Multi Multi, Ekstra Pensja, Ekstra Premia, Mini Lotto, Kaskada
Dwie dziewczyny posprzątały wieś. "Przykład nowoczesnego patriotyzmu lokalnego"
Dwie dziewczyny posprzątały wieś. "Przykład nowoczesnego patriotyzmu lokalnego"
Zełenski powołał się na raport służb. Rosja miała szantażować USA
Zełenski powołał się na raport służb. Rosja miała szantażować USA
Francja inwestuje w zakup amunicji. Kolejne zamówienie o wartości 8,5 mld euro
Francja inwestuje w zakup amunicji. Kolejne zamówienie o wartości 8,5 mld euro
Pierwsza inwestycja Amerykańsko-Ukraińskiego Funduszu Inwestycyjnego
Pierwsza inwestycja Amerykańsko-Ukraińskiego Funduszu Inwestycyjnego
Doniesienia mediów. Izrael zintensyfikuje ataki na Iran
Doniesienia mediów. Izrael zintensyfikuje ataki na Iran
Wyszedł z psem. Rozpoznajesz tego mężczyznę?
Wyszedł z psem. Rozpoznajesz tego mężczyznę?
Tragiczne wieści. Zmarła ofiara pożaru na Krupówkach
Tragiczne wieści. Zmarła ofiara pożaru na Krupówkach
Ten turniej Polaków zapamiętał jako pierwszy. Pietuszewski zaskoczył
Ten turniej Polaków zapamiętał jako pierwszy. Pietuszewski zaskoczył
Powstrzymał zamachowca. "Poprosił mnie, żebym go przytulił"
Powstrzymał zamachowca. "Poprosił mnie, żebym go przytulił"
Węgry. Kontrowersyjna propozycja koalicji może zdecydować o przyszłości w UE
Węgry. Kontrowersyjna propozycja koalicji może zdecydować o przyszłości w UE
Ukrainiec znalazł na myjni portfel. W środku było ponad 17 tys. zł
Ukrainiec znalazł na myjni portfel. W środku było ponad 17 tys. zł