Zmiany w płucach u wszystkich mających COVID-19. Nawet bez objawów choroby

Okazuje się, że nawet osoby, które nie mają objawów zakażenia koronawirusem, mogą mieć poważne zmiany w płucach. Zmętnienie płuc to zjawisko, które może wystąpić u każdego chorego i jest dowodem na to, że COVID-19 jest niebezpieczny nawet przy łagodnym przebiegu.

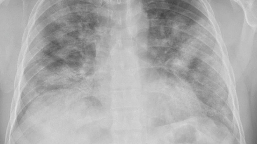
płucaZmętnienie płuc występuje u wielu osób, które nie mają objawów.
Źródło zdjęć: © Getty Images
Aniela Siwek

Naukowcy odkryli, że nawet u osób z łagodnym przebiegiem COVID-19 mogą wystąpić poważne zmiany w płucach. Badacze ze Scripps Translational Research Institute w La Jolli w Kalifornii opublikowali swoje najnowsze badania w tym temacie.

Badacze ujawnili, że ponad 40 proc. ma zmętnienie płuc. Jest to zacienienia typu mlecznego szkła i możne je zobaczyć dopiero na skanach tomografu komputerowego. To oznacza, że nawet jeśli nie ma się typowych objawów, koronawirus wciąż działa na płuca.

Koronawirus. Może poważnie zniszczyć płuca

Zmętnienie płuc było widoczne u pacjentów z różnym przebiegiem choroby. To jednoznaczny dowód, że wirus jest niebezpieczny w każdym przypadku i może pozostawić nieodwracalne zmiany.

Bezkarność urzędników. Bogdan Zdrojewski mówi o absurdzie

Taki fragment płuca jest oznaką, że toczy się tam proces zapalny. Nie wiadomo, czy te zmiany w płucach samoistnie się zagoją po zwalczeniu infekcji, czy też pozostawią po sobie blizny - mówi Aileen Marty lekarz z Florida International University w Miami na Florydzie.

Nie wiadomo, jakie dokładnie konsekwencje może mieć zmętnienie płuc w przypadku zakażonych. Teorie potwierdza badanie z Japonii. 712 zakażonych przebywało na kwarantannie, a połowa z nich nie wykazywała żadnych objawów. Zmętnienie płuc pojawiło się u większości badanych.

Źródło artykułu: o2pl
Wybrane dla Ciebie
Porównał Putina do kanibala. Rosyjski ksiądz ukarany
Porównał Putina do kanibala. Rosyjski ksiądz ukarany
Czekano na to 500 lat. Historyczna pasterka w Dublinie
Czekano na to 500 lat. Historyczna pasterka w Dublinie
Zemsta Ukraińców. Potężna eksplozja w Moskwie
Zemsta Ukraińców. Potężna eksplozja w Moskwie
Postawili to w lasach. Już wiadomo, co jest w środku
Postawili to w lasach. Już wiadomo, co jest w środku
Pojmali żołnierzy Kim Dzong Una. Ujawnili treść ich listu
Pojmali żołnierzy Kim Dzong Una. Ujawnili treść ich listu
Stanął przed kamerą i się zaczęło. "Radosne brykanie"
Stanął przed kamerą i się zaczęło. "Radosne brykanie"
Muniek broni rosyjskich sportowców w Polsce. "Lepiej dla nas niż dla Putina"
Muniek broni rosyjskich sportowców w Polsce. "Lepiej dla nas niż dla Putina"
Okrutne znalezisko w gdańskim lesie. "Nielegalny proceder"
Okrutne znalezisko w gdańskim lesie. "Nielegalny proceder"
Tu będą białe święta. Tak wygląda Zakopane
Tu będą białe święta. Tak wygląda Zakopane
Pracują od 7 do 20. Te sklepy czynne są w Wigilię
Pracują od 7 do 20. Te sklepy czynne są w Wigilię
Delfiny w Odrze. Jest rozpoznanie. Pomylili je z morświnami
Delfiny w Odrze. Jest rozpoznanie. Pomylili je z morświnami
Wyniki Lotto 23.12.2025 – losowania Lotto, Lotto Plus, Euro Jackpot, Multi Multi, Ekstra Pensja, Ekstra Premia, Mini Lotto, Kaskada
Wyniki Lotto 23.12.2025 – losowania Lotto, Lotto Plus, Euro Jackpot, Multi Multi, Ekstra Pensja, Ekstra Premia, Mini Lotto, Kaskada