Odkryto nowe skutki koronawirusa. Są gorsze niż zniszczone płuca

Naukowcy alarmują, że choroba wywołana koronawiruem SARS-Co-V-2 może powodować dużo gorsze skutki dla zdrowia niż zniszczone płuca. Dotąd uważano, że to najgorsze, co spotyka wyleczonych pacjentów.

Koronawirus. Odkryto nowe skutki zarażenia
Źródło zdjęć: © Detroit Hospital
Kamil Karnowski

Nową teorię o koronawirusie potwierdzają zarówno chińscy, włoscy jak i amerykańscy lekarze. W każdym z tych krajów zauważono łącznie u kilkudziesięciu osób wyleczonych z choroby COVID-19 niepokojące zmiany w organizmach.

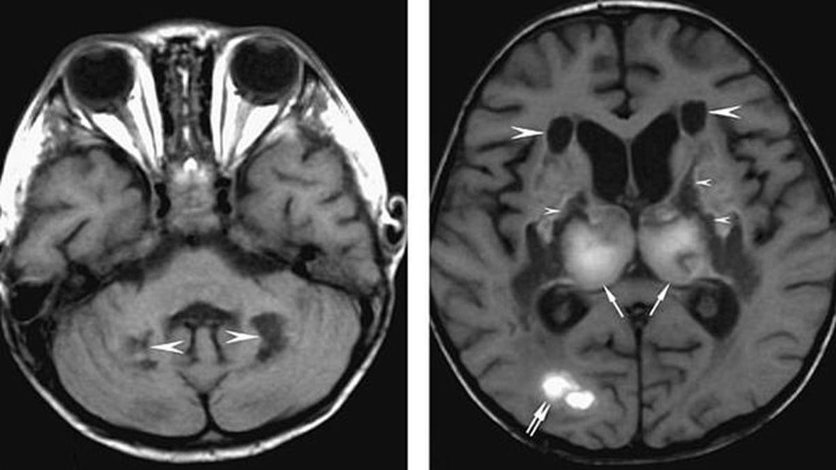
Choroba COVID-19 w skrajnych przypadkach może prowadzić do obrzęku mózgu. Te z kolei często powodują tworzenie się krwiaków, krwawienie wewnątrzczaszkowe, a także zanik niektórych komórek mózgowych.

U jednego z pacjentów skutki obrzęku mózgu były bardzo poważne. Mężczyzna stracił umiejętność mówienia - donoszą lekarze ze szpitala na Florydzie.

Włosi również zauważyli, że koronawirus może atakować nie tylko płuca zarażonych. Z tego powodu w jednym ze szpitali w Lombardii utworzono oddział zwany jako "NeuroCovid". Ma on przyjmować właśnie chorych na COVID-19, u których wirus wywołał problemy neurologiczne.

Wcześniej donoszono o tym, że wyleczeni z COVID-19 mogą mieć problemy z płucami. W wielu przypadkach mówiono o nieodwracalnych zmianach

Niestety, po uszkodzeniach tego stopnia, gojenie się płuc może zająć dużo czasu. U około 2-4 proc. pacjentów z COVID-19 uszkodzenie jest nieodwracalne i płuca ulegną później innym chorobom - informował niedawno Keith Mortman z oddziału torakochirurgii w szpitalu uniwersyteckim George’a Washingtona.

Zobacz także: Piotr Małachowski był w Wuhan przed wybuchem epidemii! Opowiedział o swoich przeżyciach

Koronawirus. Możliwe skutki choroby COVID-19

  • Choroba układu oddechowego
  • Kaszel
  • Gorączka
  • Zapalenie płuc
  • Obrzęk mózgu

Masz newsa, zdjęcie lub filmik? Prześlij nam przez dziejesie.wp.pl.

Zapisz się na nasz specjalny newsletter o koronawirusie.

Wybrane dla Ciebie
Wyniki Lotto 06.01.2026 – losowania Lotto, Lotto Plus, Euro Jackpot, Multi Multi, Ekstra Pensja, Ekstra Premia, Mini Lotto, Kaskada
Wyniki Lotto 06.01.2026 – losowania Lotto, Lotto Plus, Euro Jackpot, Multi Multi, Ekstra Pensja, Ekstra Premia, Mini Lotto, Kaskada
Nocna akcja w Niemczech. Wypłynęły pontonem. Szukało ich 40 ratowników
Nocna akcja w Niemczech. Wypłynęły pontonem. Szukało ich 40 ratowników
Wyszedł z domu w sylwestra. Krzysztof N. nie żyje
Wyszedł z domu w sylwestra. Krzysztof N. nie żyje
Dramatyczne zgłoszenie. 13-latka nieprzytomna. Matka znalazła ją w wannie
Dramatyczne zgłoszenie. 13-latka nieprzytomna. Matka znalazła ją w wannie
Incydent w więzieniu. Były prezydent Brazylii Jair Bolsonaro z urazem głowy
Incydent w więzieniu. Były prezydent Brazylii Jair Bolsonaro z urazem głowy
"Melania nienawidzi". Trump zdradza. Tego zabrania mu żona
"Melania nienawidzi". Trump zdradza. Tego zabrania mu żona
Prevc z Złotym Orłem w TCS. Polacy poza czołówką
Prevc z Złotym Orłem w TCS. Polacy poza czołówką
Tragedia w uzdrowisku. Pacjent wypadł z okna szpitala. Nie żyje
Tragedia w uzdrowisku. Pacjent wypadł z okna szpitala. Nie żyje
Nagranie z autostrady A8. Kawałek lodu wyleciał jak z procy
Nagranie z autostrady A8. Kawałek lodu wyleciał jak z procy
Niemka spacerowała nad Bałtykiem. Usłyszała huk. "Ogromne zwierzę"
Niemka spacerowała nad Bałtykiem. Usłyszała huk. "Ogromne zwierzę"
Śmierć niemowlaka w Warszawie. Wstępne ustalenia prokuratury
Śmierć niemowlaka w Warszawie. Wstępne ustalenia prokuratury
Chwalił Putina. Nie wpuścili go na Ukrainę
Chwalił Putina. Nie wpuścili go na Ukrainę