Lekarze z Chicago ostrzegają. To może być nowy objaw koronawirusa

Po obserwacji jednego z pacjentów, który trafił do szpitala w Chicago, lekarze uznali, że być może do listy objawów koronawirusa powinna zostać dodana kolejna pozycja. W żadnym wypadku tego symptomu nie powinno się lekceważyć.

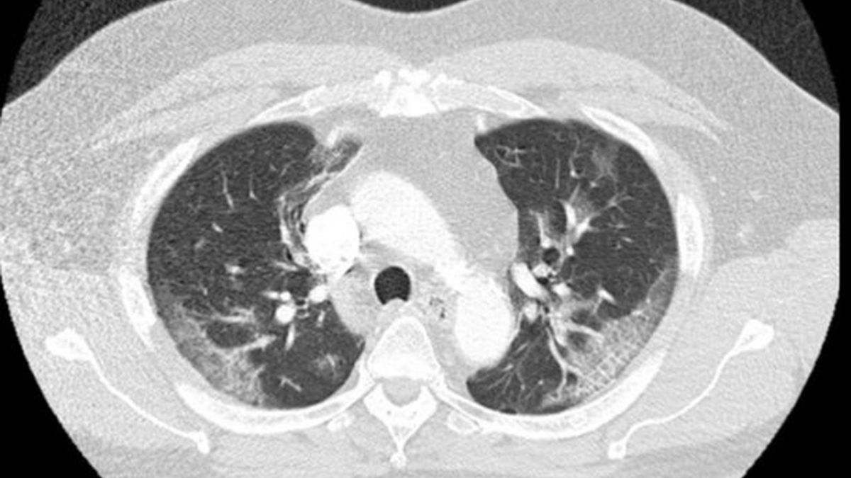
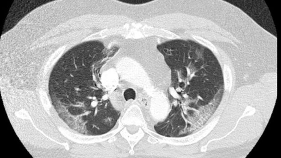
Płuca pacjenta zarażonego koronawirusemPłuca pacjenta zarażonego koronawirusem
KK

Do szpitala w Chicago zgłosił się pacjent z bardzo nietypowymi objawami. Przez cztery dni z rzędu zmagał się z uciążliwą czkawką. Z opisu przypadku opublikowanego w "American Journal of Emergency" wynika także, że miał on gorączkę wynoszącą 37,3 st. C, która w kolejnych dniach wzrosła do 38,4 st. C.

Mężczyzna miał czkawkę od czterech dni. Pacjentem był 62-latek - czytamy w raporcie.

Miejsce "must see" podczas wizyty w Leeds. Istnieje ponad 200 lat

Lekarze początkowo nie powiązali objawów z zarażeniem koronawirusem. Jednak wykonane zdjęcia RTG płuc wykazały znaczne zmiany w tym organie. Na tej podstawie zdecydowano o przetestowaniu 62-latka pod kątem koronawirusa. Test pokazał wynik pozytywny.

Nowy objaw koronawirusa? Lekarze ostrzegają

W raporcie uznano, że nieustająca i długotrwała czkawka może zostać uznana za objaw choroby COVID-19. Lekarze z Chicago, pracujący w ośrodku Cook County Health, zalecają kolegom po fachu, by ci nie lekceważyli tego symptomu.

Na razie czkawka, nawet długotrwała nie jest uznawana za oficjalny objaw koronawirusa. Jednak jak wynika z raportu opublikowanego w "American Journal of Emergency", podobnych przypadków mogło być więcej. Lekarze jednak nie przypisywali ich chorobie COVID-19, zauważając wcześniej inne, bardziej typowe objawy.

Objawy koronawirusa. Oficjalna lista

Najczęściej występujące objawy:

  • gorączka
  • suchy kaszel
  • zmęczenie

Rzadziej występujące objawy:

  • ból mięśni
  • ból gardła
  • biegunka
  • zapalenie spojówek
  • ból głowy
  • utrata smaku lub węchu

wysypka skórna lub przebarwienie palców u rąk i stóp

Poważne objawy:

  • trudności w oddychaniu lub duszności
  • ból lub ucisk w klatce piersiowej
  • utrata mowy lub zdolności ruchowych
Źródło artykułu: o2pl
Wybrane dla Ciebie
Trafił szóstkę w Lotto. Zawrotny przelew dla gracza z Polski
Trafił szóstkę w Lotto. Zawrotny przelew dla gracza z Polski
Temperatura nadal wysoka. Na horyzoncie widać jednak zmiany
Temperatura nadal wysoka. Na horyzoncie widać jednak zmiany
Co szósty Polak pożycza na święta. Ile wydamy na prezenty w tym roku
Co szósty Polak pożycza na święta. Ile wydamy na prezenty w tym roku
Nie żyje legenda NASCAR Greg Biffle. Zginął wraz z rodziną
Nie żyje legenda NASCAR Greg Biffle. Zginął wraz z rodziną
Nowe zasady w Sylwestra. Budapeszt wprowadza zakazy
Nowe zasady w Sylwestra. Budapeszt wprowadza zakazy
Wyniki Lotto 18.12.2025 – losowania Lotto, Lotto Plus, Multi Multi, Ekstra Pensja, Ekstra Premia, Mini Lotto, Kaskada
Wyniki Lotto 18.12.2025 – losowania Lotto, Lotto Plus, Multi Multi, Ekstra Pensja, Ekstra Premia, Mini Lotto, Kaskada
Sensacyjne odkrycie pod Olsztynem. To średniowieczna broń
Sensacyjne odkrycie pod Olsztynem. To średniowieczna broń
Zginął w strasznym wypadku. Oddali hołd 19-letniemu strażakowi
Zginął w strasznym wypadku. Oddali hołd 19-letniemu strażakowi
Nagle przestał być proboszczem. Parafianie w szoku. W tle dochodzenie
Nagle przestał być proboszczem. Parafianie w szoku. W tle dochodzenie
Puchar Świata. Aleksandra Król-Walas sięgnąła po medal
Puchar Świata. Aleksandra Król-Walas sięgnąła po medal
Po sieci krąży nagranie. "Boję się skręcać do własnego domu"
Po sieci krąży nagranie. "Boję się skręcać do własnego domu"
Tramwaj nie mógł przejechać. Przestawili auto rękami. Sceny w Krakowie
Tramwaj nie mógł przejechać. Przestawili auto rękami. Sceny w Krakowie