Niepokojące zdjęcia rentgenowskie. Pokazują jak działają szczepionki

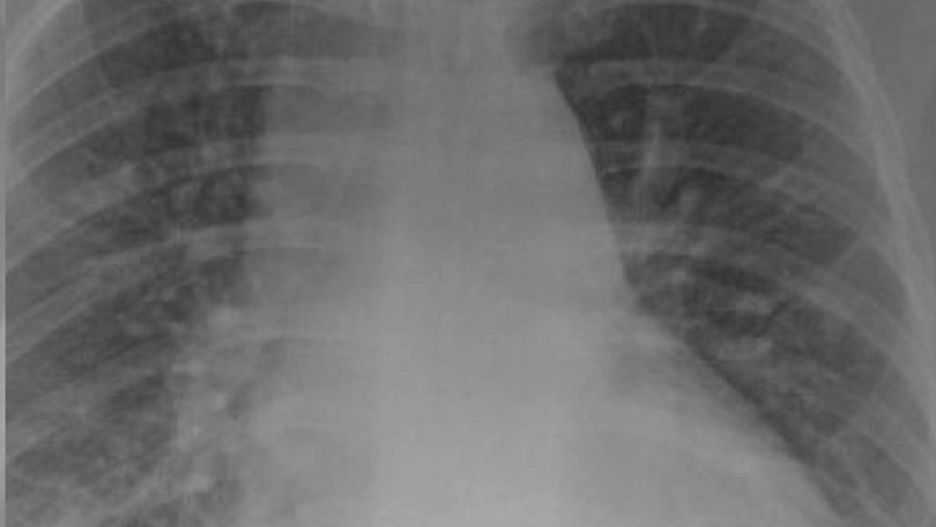
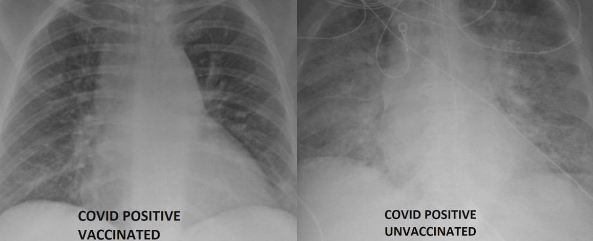
Jeden z amerykańskich lekarzy zajmujących się pacjentami z COVID-19 opublikował zdjęcia rentgenowskie chorych pacjentów. Na jednym z nich widać płuca osoby zaszczepionej, a na drugim płuca osoby, która nie przyjęła szczepionki.

płucaLekarz pokazał jak działa szczepionka.
Źródło zdjęć: © Facebook

Lekarz udostępnił dwa zdjęcia rentgenowskie płuc zakażonych koronawirusem. Jeden z pacjentów był zaszczepiony, a drugi nie. Różnica w przebiegu choroby jest kolosalna.

Jak naprawdę działają szczepionki?

Dr Ghassan Kamel pracuje SSM Health Saint Louis University Hospital w Missouri i od marca ubiegłego roku zajmuje się chorymi na COVID-19. Aby zachęcić do szczepień, pokazał zdjęcia chorych płuc i jaki wpływ ma na nie szczepionka.

Na zdjęciu rentgenowskim chorego, ale zaszczepionego pacjenta nie widać żadnych niepokojących zmian w płucach. Natomiast u zakażonej, ale niezaszczepionej osoby płuca są zabielone. Lekarz wyjaśnia, że to zmętnienie płuc, czyli zacienienia typu mlecznego szkła widoczne dopiero na skanach tomografu komputerowego.

Zmętnienia płuc wskazują zwykle, że płuca są wypełnione np. płynem. To może nie tylko utrudniać oddychanie, ale także prowadzić do poważniejszych schorzeń.

Doktor Kamel powiedział, że osoby ze zmętnieniem płuc, częściej potrzebują pomocy medycznej. Częściej trafiają na oddział intensywnej terapii i wymagają podłączenia do respiratora. Lekarz dodał, że prawdopodobnie gdyby zaszczepiona osoba trafiła do szpitala nie potrzebowałaby takiego leczenia.

Mogą wymagać respiratora lub zostać zaintubowani i zasadniczo podtrzymywania życia. Jeśli nie lubisz nosić maski to z pewnością nie spodoba ci się respirator – powiedział Kamel dla stacji KSDK.
płuca
Płuca osoby zaszczepionej i niezaszczepionej.

Brutalny atak w Katowicach. Policja prosi o pomoc w ustaleniu napastnika

Źródło artykułu: o2pl
Wybrane dla Ciebie
Wyniki Lotto 18.12.2025 – losowania Lotto, Lotto Plus, Multi Multi, Ekstra Pensja, Ekstra Premia, Mini Lotto, Kaskada
Wyniki Lotto 18.12.2025 – losowania Lotto, Lotto Plus, Multi Multi, Ekstra Pensja, Ekstra Premia, Mini Lotto, Kaskada
Zginął w strasznym wypadku. Oddali hołd 19-letniemu strażakowi
Zginął w strasznym wypadku. Oddali hołd 19-letniemu strażakowi
Nagle przestał być proboszczem. Parafianie w szoku. W tle dochodzenie
Nagle przestał być proboszczem. Parafianie w szoku. W tle dochodzenie
Puchar Świata. Aleksandra Król-Walas sięgnąła po medal
Puchar Świata. Aleksandra Król-Walas sięgnąła po medal
Po sieci krąży nagranie. "Boję się skręcać do własnego domu"
Po sieci krąży nagranie. "Boję się skręcać do własnego domu"
Tramwaj nie mógł przejechać. Przestawili auto rękami. Sceny w Krakowie
Tramwaj nie mógł przejechać. Przestawili auto rękami. Sceny w Krakowie
Przyszedł z wózkiem dziecięcym i go podpalił. Sceny w Cieszynie
Przyszedł z wózkiem dziecięcym i go podpalił. Sceny w Cieszynie
WHO alarmuje: odra wraca. Wzrost zakażeń w 95 krajach
WHO alarmuje: odra wraca. Wzrost zakażeń w 95 krajach
Prokuratura w Japonii żąda dożywocia. Wraca sprawa zabójcy Shinzo Abego
Prokuratura w Japonii żąda dożywocia. Wraca sprawa zabójcy Shinzo Abego
Zamroź to już dziś, a święta będą znacznie łatwiejsze. Lista najlepszego do zamrożenia jedzenia
Zamroź to już dziś, a święta będą znacznie łatwiejsze. Lista najlepszego do zamrożenia jedzenia
"Lodowe włosy". Park narodowy pokazał zdjęcia
"Lodowe włosy". Park narodowy pokazał zdjęcia
Niemcy ostrzegają. Krążą takie zdjęcia "policjantek"
Niemcy ostrzegają. Krążą takie zdjęcia "policjantek"