Wypił 1,5 litra coli. Nie żyje. Podali przyczynę zgonu 22-latka

22-latek wypił drinka. Ten miał mu pomóc ochłodzić się w upalny dzień. Nie spodziewał się jednak, że zakończy się to dla niego tragedią. Jednak to nie Coca-Cola miała bezpośredni związek ze śmiercią 22-latka, jak twierdzą chińscy badacze, lecz ukryta choroba, która przypadkiem ujawniła się po wypiciu napoju, uważają brytyjscy lekarze.

Tragedia w Chinach. 22-latek zmarł po wypiciu 1,5 coliTragedia w Chinach. 22-latek zmarł po wypiciu 1,5 l coli

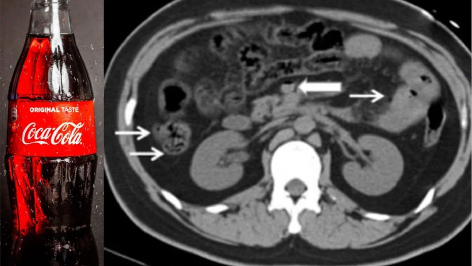
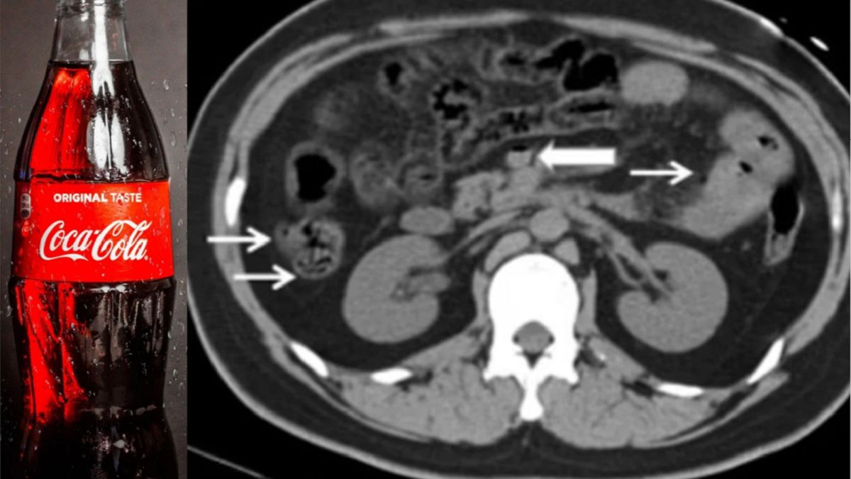
Mężczyzna z Chin wypił 1,5 litra Coca-Coli w zaledwie 10 minut. Sześć godzin później trafił do szpitala, skarżąc się na silny ból brzucha oraz obrzęk żołądka. Dlaczego doszło do tragedii? Lekarze podają powód, jednak ten został odrzucony przez brytyjskich ekspertów, którzy szczerze wątpią w taki przebieg zdarzeń.

Chińscy medycy przekonują, że szybkie spożycie Coca-Coli przez 22-latka doprowadziło do śmiertelnego nagromadzenia się gazu w jego ciele, co miało pozbawić wątrobę tlenu i ostatecznie zabić mężczyznę.

Jak podkreśla angielski Daily Mail, już pierwsze testy przeprowadzone na mężczyźnie przez lekarzy wykazały kilka niepokojących objawów.

Mężczyzna, który nigdy nie skarżył się na problemy zdrowotne, miał podwyższone tętno, niskie ciśnienie krwi i szybko oddychał. Kolejne badania wykazały, że miał pneumatozę, zbyt dużą obecność gazu w ścianie jelita i żyle wrotnej.

To nie koniec. Miał także niedokrwienie wątroby, zwane również "wątrobą szokową". Jest to rodzaj urazu spowodowanego niskim dopływem tlenu do narządu, co według lekarzy było związane z obecnością gazu w żyle wrotnej.

Lekarze zrobili wszystko, co mogli

Główny lekarz Qiang He powiedział, że personel medyczny natychmiast podjął próbę uwolnienia gazu z układu pokarmowego mężczyzny. 22-latek otrzymał również leki, które miały ochronić jego wątrobę i spróbować ustabilizować inne funkcje organizmu przed dalszymi uszkodzeniami.

Po 12 godzinach badania krwi wykazały, że mężczyzna miał poważne uszkodzenie wątroby. Jego stan uległ dalszemu pogorszeniu i zmarł 18 godzin od momentu pojawieniu się w szpitalu.

Co na to brytyjscy lekarze? Twierdzą, że to naprawdę bardzo mało prawdopodobne

Profesor Nathan Davies, lekarz i biochemik z University College London podał w wątpliwość diagnozę chińskich lekarzy. W rozmowie z Daily Mail stwierdził, że podobna sytuacja raczej nie mogła mieć miejsca.

Ryzyko, że wypicie 1,5 litra lub nieco ponad 3 litrów zwykłego napoju bezalkoholowego będzie śmiertelne, jest bardzo, bardzo mało prawdopodobne - mówi prof. Davies.

Stwierdził, że to nie napój spowodował tego typu stan rzeczy, a wcześniejsza choroba organizmu. Prof. Davies uważa, że mężczyzna mógł mieć w organizmie bakterię, która wytwarza specyficzne toksyny, zaburzające prawidłowe funkcjonowanie narządów - w tym m.in. zakłóca odprowadzanie gazów z jelit czy wątroby.

Choroba ta wywołuje bardzo zbliżone objawy do tych, jakich doznał przed śmiercią 22-latek po wypiciu coca-coli. Dodał, że jest bardzo, bardzo mało prawdopodobne, aby śmierć u kogokolwiek mogła nastąpić z powodu wypicia jakiegokolwiek napoju bezalkoholowego, a ewentualne konsekwencje zbyt częstego picia, np. coca-coli, mogą się pojawić, ale w długim okresie czasu, nie w przeciągu kilku minut czy godzin. Dotyczą one głównie próchnicy zębów.

Stan wyjątkowy. Były szef MSWiA deklaruje

Źródło artykułu: o2pl
Wybrane dla Ciebie
Wyniki Lotto 06.01.2026 – losowania Lotto, Lotto Plus, Euro Jackpot, Multi Multi, Ekstra Pensja, Ekstra Premia, Mini Lotto, Kaskada
Wyniki Lotto 06.01.2026 – losowania Lotto, Lotto Plus, Euro Jackpot, Multi Multi, Ekstra Pensja, Ekstra Premia, Mini Lotto, Kaskada
Nocna akcja w Niemczech. Wypłynęły pontonem. Szukało ich 40 ratowników
Nocna akcja w Niemczech. Wypłynęły pontonem. Szukało ich 40 ratowników
Wyszedł z domu w sylwestra. Krzysztof N. nie żyje
Wyszedł z domu w sylwestra. Krzysztof N. nie żyje
Dramatyczne zgłoszenie. 13-latka nieprzytomna. Matka znalazła ją w wannie
Dramatyczne zgłoszenie. 13-latka nieprzytomna. Matka znalazła ją w wannie
Incydent w więzieniu. Były prezydent Brazylii Jair Bolsonaro z urazem głowy
Incydent w więzieniu. Były prezydent Brazylii Jair Bolsonaro z urazem głowy
"Melania nienawidzi". Trump zdradza. Tego zabrania mu żona
"Melania nienawidzi". Trump zdradza. Tego zabrania mu żona
Prevc z Złotym Orłem w TCS. Polacy poza czołówką
Prevc z Złotym Orłem w TCS. Polacy poza czołówką
Tragedia w uzdrowisku. Pacjent wypadł z okna szpitala. Nie żyje
Tragedia w uzdrowisku. Pacjent wypadł z okna szpitala. Nie żyje
Nagranie z autostrady A8. Kawałek lodu wyleciał jak z procy
Nagranie z autostrady A8. Kawałek lodu wyleciał jak z procy
Niemka spacerowała nad Bałtykiem. Usłyszała huk. "Ogromne zwierzę"
Niemka spacerowała nad Bałtykiem. Usłyszała huk. "Ogromne zwierzę"
Śmierć niemowlaka w Warszawie. Wstępne ustalenia prokuratury
Śmierć niemowlaka w Warszawie. Wstępne ustalenia prokuratury
Chwalił Putina. Nie wpuścili go na Ukrainę
Chwalił Putina. Nie wpuścili go na Ukrainę