Mieli to w ciele. 15 zdumiewających zdjęć rentgenowskich

Obraz
Źródło zdjęć: © imgur.com

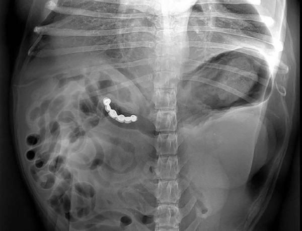
/ 15Agrafka

Obraz
© imgur.com

Dzieci i zwierzęta jedzą różne rzeczy. Idorosłym przytrafia się sytuacja, kiedy połkną coś, czego nie powinni. Na przykład agrafkę. Aż boli, jak się na to patrzy.

/ 15Sztuczna szczęka

Obraz
© imgur.com

Pożarł zęby z wrażenia.

/ 15SpongeBob

Obraz
© imgur.com

Widać, to ulubiona postać z kreskówek tego dziecka.

/ 15Strzała

Obraz
© imgur.com

Bawili się w indian.

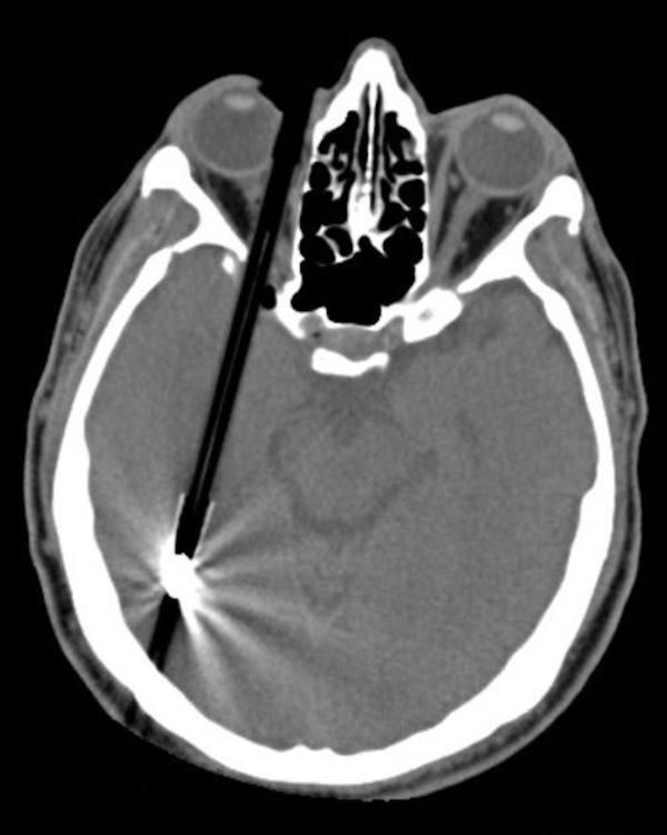
/ 15Nawet lekarze byli zdumieni

Obraz
© imgur.com

Co to jest i jak się tam dostało?!

/ 15Moneta

Obraz
© imgur.com

Jak już miał apetyt na pieniądze, to mógł postawić na banknoty. Podobno się lepiej trawią.

/ 15Kaseta mangetofonowa

Obraz
© imgur.com

Muzyki już z tego nie puści.

/ 15Łyżka

Obraz
© imgur.com

Zupa tak mu smakowała, że połknął razem z łyżką.

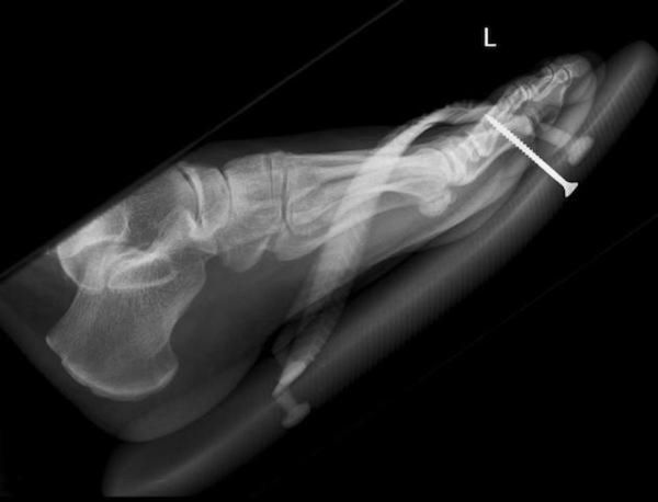
/ 15Wkręt

Obraz
© imgur.com

Wkręt czy gwóźdź w stopie to nic niezwykłego, ale rzadko tak głęboko.

10 / 15Wąż

Obraz
© imgur.com

Jak on się tam dostał?

11 / 15Scyzoryk

Obraz
© imgur.com

Nie mógł połknąć go, jak był zamknięty?

12 / 15Butelka

Obraz
© imgur.com

Musiał być bardzo spragniony.

13 / 15Ołówek

Obraz
© imgur.com

Przykra sprawa.

14 / 15Buzz Astral

Obraz
© imgur.com

Dobrze, że figurka bohatera filmu "Toy Story" nie miała otwartych skrzydeł.

15 / 15Klucze

Obraz
© imgur.com

Jeżeli zabrał je panu na spacerze, to ciekawe jak się dostali do domu.

Widziałeś lub słyszałeś coś ciekawego? Poinformuj nas, nakręć film, zrób zdjęcie i wyślij na redakcjao2@grupawp.pl.

Wybrane dla Ciebie
Środek lasu. I nagle taki widok. Leśnicy pokazali zdjęcie
Środek lasu. I nagle taki widok. Leśnicy pokazali zdjęcie
Wydano za nim list gończy. Poszukiwany Polak oprowadza wycieczki po Gozo?
Wydano za nim list gończy. Poszukiwany Polak oprowadza wycieczki po Gozo?
10 tys. lat historii wykute w skale. Przełomowe odkrycie w Egipcie
10 tys. lat historii wykute w skale. Przełomowe odkrycie w Egipcie
Półnaga kobieta. Aż zrobił jej zdjęcie. Szła po ulicy
Półnaga kobieta. Aż zrobił jej zdjęcie. Szła po ulicy
Oszustwa romantyczne i "love bombing". Walentynki pod lupą NASK
Oszustwa romantyczne i "love bombing". Walentynki pod lupą NASK
Młoda kobieta była w Hebe. Teraz jej twarz zobaczy cała Polska
Młoda kobieta była w Hebe. Teraz jej twarz zobaczy cała Polska
Nie chce opuścić Wenecji. Mimmo pod stałą obserwacją
Nie chce opuścić Wenecji. Mimmo pod stałą obserwacją
Wyniki Lotto 13.02.2026 – losowania Euro Jackpot, Multi Multi, Ekstra Pensja, Ekstra Premia, Mini Lotto, Kaskada
Wyniki Lotto 13.02.2026 – losowania Euro Jackpot, Multi Multi, Ekstra Pensja, Ekstra Premia, Mini Lotto, Kaskada
Kim jest Władimir Semirunnij? "Zdobyłem medal dla Polski"
Kim jest Władimir Semirunnij? "Zdobyłem medal dla Polski"
Tak ożywia ikony stolicy. Architektura PRL z Lego. Niezwykłe projekty
Tak ożywia ikony stolicy. Architektura PRL z Lego. Niezwykłe projekty
Zaczęło się od bólu głowy. Basia zmarła. Tak żegna ją szkoła
Zaczęło się od bólu głowy. Basia zmarła. Tak żegna ją szkoła
Wyłonił się bezszelestnie. Leśniczy zastygł. Słychać tylko oddech
Wyłonił się bezszelestnie. Leśniczy zastygł. Słychać tylko oddech