Koronawirus. Pokazali płuca ozdrowieńców COVID-19. Gorsze niż przez lata palenia papierosów

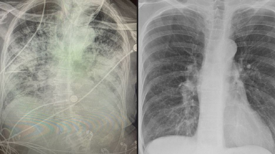
Dr Brittany Bankhead-Kendall, chirurg z Teksasu, pokazała trzy zdjęcia rentgenowskie płuc: zdrowego pacjenta, palacza i pacjenta z Covid-19. W najgorszym stanie były płuca osoby zakażonej - mętne, pełne płynów i uszkodzeń.

płuca.Po lewej płuca pacjenta z Covid-19, a po prawej nałogowego palacza.
Źródło zdjęć: © Twitter.com

Dr Brittany Bankhead-Kendall, chirurg urazowy z Teksasu od marca zajmuje się głównie pacjentami z Covid-19. Niedawno pokazała zdjęcia rentgenowskie płuc trzech osób: zdrowej, palącej nałogowo papierosy oraz zakażonej koronawirusem. W najgorszym stanie były płuca tej ostatniej.

Płuca pacjenta z Covid-19 są zrujnowane

Lekarka zauważyła, że płuca osoby palącej są zamglone, jednak osoby chorej na Covid-19 całkowicie białe. To oznaka, że w środku znajdują się płyny i liczne uszkodzenia. Pacjent nie jest w stanie przez to przyjąć większej ilości tlenu.

Nie wiem, kto musi to usłyszeć, ale płuca "po Covid-19" wyglądają gorzej niż jakiekolwiek płuca nałogowego palacza, które kiedykolwiek widzieliśmy - napisała na Twitterze lekarka.

Bankhead-Kendall dodała, że potrzebne są dalsze badania w tej dziedzinie. Niestety jej zdaniem zbyt wielu ekspertów skupia się na wskaźnikach śmiertelności i doraźnych problemach, tym samym zapominając o długoterminowych skutkach zakażenia koronawirusem.

Lekarka powiedziała, że każdy jej pacjent z Covid-19 miał prześwietlenie płuc. U 70-80 proc. z nich zauważono różne uszkodzenia płuc. Wielu z nich nie miało silnych objawów zakażenia i nie skarżyło się na problemy z oddychaniem czy duszności.

Czy ozdrowieńcy powinni być szczepieni? Prof. Simon: "Nie ma przeciwwskazań, żeby podbić poziom przeciwciał"

Źródło artykułu: o2pl
Wybrane dla Ciebie
Wyniki Lotto 09.01.2026 – losowania Euro Jackpot, Multi Multi, Ekstra Pensja, Ekstra Premia, Mini Lotto, Kaskada
Wyniki Lotto 09.01.2026 – losowania Euro Jackpot, Multi Multi, Ekstra Pensja, Ekstra Premia, Mini Lotto, Kaskada
Taki widok na Odrze. "Nie widziany od kilku lat"
Taki widok na Odrze. "Nie widziany od kilku lat"
To nie kot. W Gdyni wypatrzyli niezwykłego "nocnego spacerowicza"
To nie kot. W Gdyni wypatrzyli niezwykłego "nocnego spacerowicza"
"Zjadł, zapłacił i był zadowolony". Obrzydliwe, co zrobił potem
"Zjadł, zapłacił i był zadowolony". Obrzydliwe, co zrobił potem
Jest po amputacji nóg. Zdobył najwyższe góry wszystkich kontynentów
Jest po amputacji nóg. Zdobył najwyższe góry wszystkich kontynentów
Spekulacje po śmierci 22-latka. Partnerka mówi dość. "Jestem wściekła"
Spekulacje po śmierci 22-latka. Partnerka mówi dość. "Jestem wściekła"
Zbyt otyła na odszkodowanie? Dramat pani Anety po wypadku na poligonie
Zbyt otyła na odszkodowanie? Dramat pani Anety po wypadku na poligonie
93-latka zmarła z wychłodzenia. Kolejne ostrzeżenia przed silnym mrozem
93-latka zmarła z wychłodzenia. Kolejne ostrzeżenia przed silnym mrozem
Słowa Meloni idą w świat. Mówi o rozmowach z Putinem
Słowa Meloni idą w świat. Mówi o rozmowach z Putinem
W takich warunkach żyły psy. Szokujące odkrycie w gminie Bolimów
W takich warunkach żyły psy. Szokujące odkrycie w gminie Bolimów
Przyłapał go pod szopką betlejemską. Niegodne zachowanie mężczyzny
Przyłapał go pod szopką betlejemską. Niegodne zachowanie mężczyzny
Burmistrz Nowego Jorku obwinia Trumpa. "Rok pełen okrucieństwa"
Burmistrz Nowego Jorku obwinia Trumpa. "Rok pełen okrucieństwa"