Bardzo ważne odkrycie. Zbadali płuca zmarłych na COVID-19

Badanie płuc osób zmarłych z powodu COVID-19 w większości przypadków wykazało trwałe i rozległe uszkodzenia. Lekarze mają nadzieję, że badanie pomoże lepiej zrozumieć przebieg choroby u pacjentów, który cierpią na tzw. długi Covid.

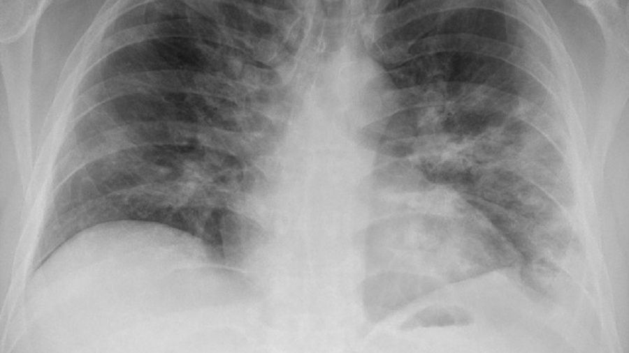
płucaPłuca pacjentów z koronawirusem mogą być całkowicie zniszczone.
Źródło zdjęć: © Getty Images
Aldona Brauła

Naukowcy z King's College London przebadali płuca osób zmarłych na COVID-19. Odkryli nie tylko trwałe i rozległe uszkodzenia, ale także pewne unikalne cechy, które mogą wyjaśnić, co powoduje takie szkody w organizmie.

Odkrycia wskazują, że COVID-19 nie jest po prostu chorobą spowodowaną śmiercią komórek zakażonych wirusem, ale prawdopodobnie konsekwencją tego, że te nietypowe komórki utrzymują się przez długi czas w płucach - powiedział Mauro Giacca, profesor z King's College London, jeden z autorów badania.

 Trwałe uszkodzenia płuc pacjentów z COVID-19

Zespół badaczy przeanalizował próbki z płuc, serca, wątroby i nerek 41 pacjentów zmarłych z powodu COVID-19. Ofiary COVID-19 pochodziły z włoskiego szpitala uniwersyteckiego w Trieście z okresu od lutego do kwietnia 2020 r. Badania opublikowano w czasopiśmie Lancet eBioMedicine.

Atak terrorystyczny w Wiedniu. Dramatyczna relacja Polaka

W płucach znaleziono "naprawdę ogromne zniszczenie architektury płuc" i zdrową tkankę "prawie całkowicie zastąpioną bliznowatą tkanką". Według naukowców nawet jeśli ktoś pokona COVID-19, wyrządzone szkody mogą być ogromne i nieodwracalne. Ponadto w wielu tkankach wirus był nadal obecny.

Można założyć, że jedną z przyczyn, dla których występują przypadki tzw. długiego Covidu, jest to, że dochodzi rozległego zniszczenia płuc - mówi prof. Giacca, cytowany przez agencję Reutera.

U większości pacjentów wykryto kilka cech charakterystycznych tylko dla COVID-19. Była to m.in. rozległa krzepliwość krwi w tętnicach płucnych i żyłach. Ponadto niektóre komórki płuc wyjątkowo się powiększyły i miały wiele jąder - to wynik fuzji różnych komórek w pojedyncze duże komórki w procesie znanym jako syncytia.

Wybrane dla Ciebie
Wyniki Lotto 01.04.2026 – losowania Multi Multi, Ekstra Pensja, Ekstra Premia, Mini Lotto, Kaskada
Wyniki Lotto 01.04.2026 – losowania Multi Multi, Ekstra Pensja, Ekstra Premia, Mini Lotto, Kaskada
Ryanair może wstrzymać loty. Prezes linii podał powód
Ryanair może wstrzymać loty. Prezes linii podał powód
Rozkład mszy w Głuszynie wzbudził emocje. Intencja: "O mądrość dla księdza"
Rozkład mszy w Głuszynie wzbudził emocje. Intencja: "O mądrość dla księdza"
"Powtarzający się problem". Służby wskazują na konkretną przyczynę
"Powtarzający się problem". Służby wskazują na konkretną przyczynę
Pijana matka dachowała autem. W pojeździe 3-letnie dziecko. Miała 3,5 promila
Pijana matka dachowała autem. W pojeździe 3-letnie dziecko. Miała 3,5 promila
"Każdy wierny". Metropolita o daninie diecezjalnej
"Każdy wierny". Metropolita o daninie diecezjalnej
Kapitan holownika oskarżony o śmiertelny wypadek. Miał używać telefonu
Kapitan holownika oskarżony o śmiertelny wypadek. Miał używać telefonu
Wypadek na niestrzeżonym przejeździe. Auto zderzyło się z pociągiem
Wypadek na niestrzeżonym przejeździe. Auto zderzyło się z pociągiem
Chłopiec przestał oddychać. Karetka przyjechała po 24 minutach
Chłopiec przestał oddychać. Karetka przyjechała po 24 minutach
Pożar w czeskich Pardubicach. ABW zatrzymała dwoje Polaków
Pożar w czeskich Pardubicach. ABW zatrzymała dwoje Polaków
28-letni Brytyjczyk miał to w bagażu. Strażnicy ujawnili 11 sztuk
28-letni Brytyjczyk miał to w bagażu. Strażnicy ujawnili 11 sztuk
W Polsce odkryto grobowiec sprzed 6 tys. lat. Ma 42 metry długości
W Polsce odkryto grobowiec sprzed 6 tys. lat. Ma 42 metry długości