Bolesny wypadek podczas seksu. Lekarze nigdy nie widzieli czegoś podobnego

To pierwszy taki przypadek na świecie. Mężczyzna doznał pionowego złamania penisa podczas seksu ze swoją partnerką. Uraz miał aż 3 cm.

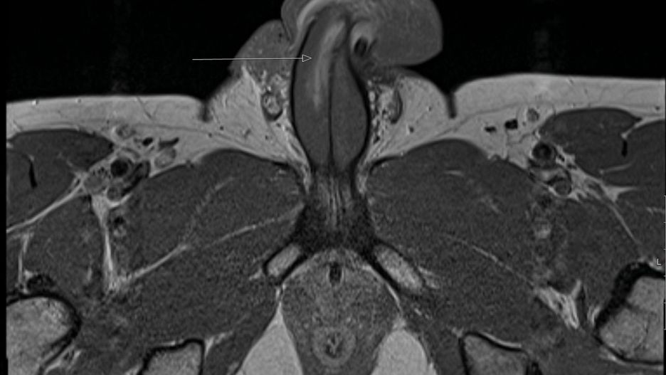
złamanie penisa
Źródło zdjęć: © British Medical Journal

Lekarze w Wielkiej Brytanii odnotowali pierwszy znany przypadek pionowego złamania penisa podczas seksu. Członek 40-letniego mężczyzny uderzył w krocze partnerki w obszar między odbytem a genitaliami, zanim u podstawy penisa otworzyła się 3-centymetrowa "łza".

Nie jest do końca znana przyczyna złamania. Lekarze nie powiedzieli, w jakiej pozycji para uprawiała seks, ale złamania penisa są najczęściej wywoływane przez pozycje "na pieska".

W prąciu nie ma kości, ale złamania zwykle zdarzają się, gdy penis mężczyzny wysuwa się z partnerki i nagle zostaje zgięty. Powoduje to bolesny obrzęk. Medycy, którzy leczyli pacjenta, opisali ten przypadek w "British Medical Journal". Potwierdzili wówczas również, że wszystkie wcześniej zarejestrowane złamania penisa były poziome.

Przypadek inny niż wszystkie

Ten przypadek był jednak był inny. Rozszczepiona została albuginea tunica - warstwa ochronna wokół tkanki erekcyjnej, która pompuje krew do tego obszaru. Lekarze powiedzieli, że podczas złamania nie było słychać "trzaskania", co ma miejsce, gdy złamania są poziome.

Penis pacjenta stopniowo puchł po urazie. Sześć miesięcy po leczeniu urazu lekarze stwierdzili, że mężczyzna nadal był w stanie osiągnąć "erekcję tej samej jakości, co przed urazem". Dodali, że nie było długotrwałego skrzywienia prącia ani wyczuwalnych blizn.

Ale seks to niejedyna przyczyna złamań penisa. Do urazów dochodzi również podczas masturbacji, złej pozycji do spania i taqaandanu - praktyki siłowego zginania penisa, która według raportu jest stosowana głównie w krajach Bliskiego Wschodu.

Najczęściej do złamań penisa dochodzi po 40. roku życia. Dotyczy to 7 na 10 przypadków. Od 1924 roku na całym świecie zarejestrowano 1600 przypadków złamań - około 16 przypadków rocznie.

Źródło artykułu: o2pl
Wybrane dla Ciebie
Pokazali nagranie z Białegostoku. Wspinaczka zakończona przez policję
Pokazali nagranie z Białegostoku. Wspinaczka zakończona przez policję
W ten weekend ostatnia szansa. Przed nami finał "choinkobrania"
W ten weekend ostatnia szansa. Przed nami finał "choinkobrania"
Rosja stawia na arsenał atomowy. W sieci pojawiła się mapa
Rosja stawia na arsenał atomowy. W sieci pojawiła się mapa
Kuriozalna akcja policji. Zrobili szpiega z niepełnosprawnego 31-latka
Kuriozalna akcja policji. Zrobili szpiega z niepełnosprawnego 31-latka
Seria nocnych pożarów w Polsce. Dramatyczna akcja strażaków w Toruniu
Seria nocnych pożarów w Polsce. Dramatyczna akcja strażaków w Toruniu
Wyniki Lotto 19.12.2025 – losowania Euro Jackpot, Multi Multi, Ekstra Pensja, Ekstra Premia, Mini Lotto, Kaskada
Wyniki Lotto 19.12.2025 – losowania Euro Jackpot, Multi Multi, Ekstra Pensja, Ekstra Premia, Mini Lotto, Kaskada
Tragedia w Hiszpanii. Turystkę z Niemiec porwały fale
Tragedia w Hiszpanii. Turystkę z Niemiec porwały fale
28-latka nie żyje. Rodzina o sprawie pani prokurator. "Dla mnie to jest kpina"
28-latka nie żyje. Rodzina o sprawie pani prokurator. "Dla mnie to jest kpina"
Pożar w Zakopanem na Krupówkach. To ta restauracja spłonęła
Pożar w Zakopanem na Krupówkach. To ta restauracja spłonęła
Turyści nie będą zadowoleni. Podejście do fontanny będzie płatne
Turyści nie będą zadowoleni. Podejście do fontanny będzie płatne
Rosjanin z zarzutami. Miał organizować transport migrantów do Niemiec
Rosjanin z zarzutami. Miał organizować transport migrantów do Niemiec
Burza po decyzji papieża. Nowy ordynariusz wspiera osoby LGBT+
Burza po decyzji papieża. Nowy ordynariusz wspiera osoby LGBT+