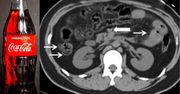
Wypił 1,5 litra coli. Nie żyje. Podali przyczynę zgonu 22-latka
22-latek wypił drinka. Ten miał mu pomóc ochłodzić się w upalny dzień. Nie spodziewał się jednak, że zakończy się to dla niego tragedią. Jednak to nie Coca-Cola miała bezpośredni związek ze śmiercią 22-latka, jak twierdzą chińscy badacze, lecz ukryta choroba, która przypadkiem ujawniła się po wypiciu napoju, uważają brytyjscy lekarze.