Wielki przełom w leczeniu SM. Naukowcy odwrócili zmiany chorobowe

Amerykańscy badacze dokonali przełomowego odkrycia. Okazuje się, że podanie komórek odpornościowych przeciwko mononukleozie może zatrzymać postęp stwardnienia rozsianego. Badacze twierdzą, że są w stanie w ten sposób odwrócić zmiany chorobowe u niektórych pacjentów.

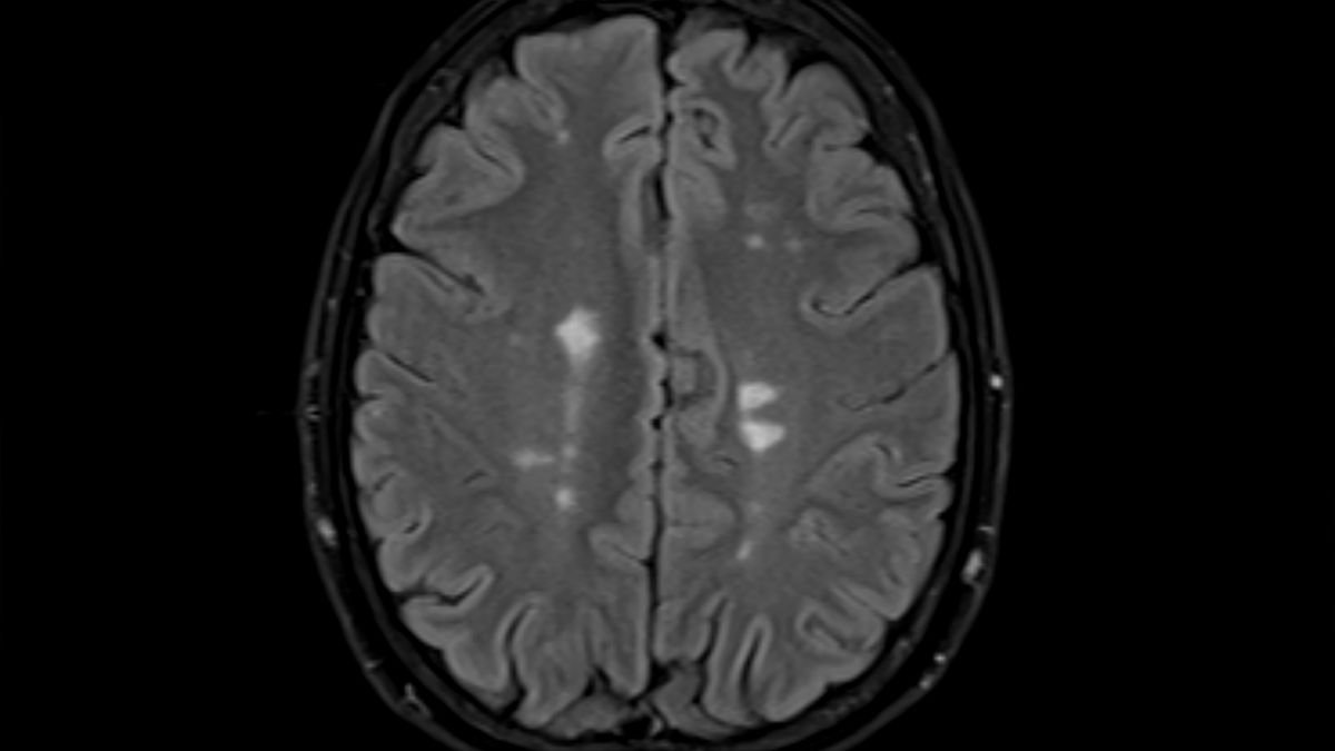
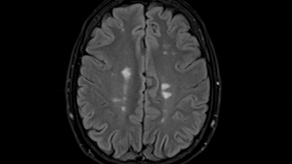
Stwardnienie rozsiane powoduje zmiany w mózgu prowadzące najczęściej do trwałej niepełnosprawnościStwardnienie rozsiane powoduje zmiany w mózgu prowadzące najczęściej do trwałej niepełnosprawności
Źródło zdjęć: © Getty Images | Paul Biris

Badacze podali chorym na stwardnienie rozsiane limfocyty T, pomagające w walce z mononukleozą zakaźną, zwaną także gorączką gruczołową. U większości pacjentów odnotowano znaczne spowolnienie postępu choroby. Niektórzy doświadczyli nawet odwrócenia zmian chorobowych.

U części osób odnotowano trwałą poprawę dotyczącą niepełnosprawności. Niektórzy pacjenci odzyskali zdolność chodzenia, z mniejszym niż dotychczas bólem – zauważają naukowcy.

Odwrócili zmiany wywołane przez stwardnienie rozsiane. Zaskakujące efekty

Limfocyty T zostały pobrane od pacjentów, którzy wygrali walkę z wirusem Epsteina-Barra (EBV), powodującym mononukleozę zakaźną. Jedno z ostatnich badań wymienia patogen jako możliwą przyczynę stwardnienia rozsianego.

Naukowcy zaznaczają, że badana próba była stosunkowo niewielka. Nie wykluczono także działania efektu Placebo. Badacze twierdzą jednak, że ich ustalenia mogą stanowić przełom w leczeniu stwardnienia rozsianego.

Stwardnienie rozsiane to choroba ośrodkowego układu nerwowego, w której dochodzi do wieloogniskowego uszkodzenia tkanki nerwowej. Objawy obejmują zaburzenia widzenia, problemy z poruszaniem i czuciem. Choroba ta jest obecnie uznawana za nieuleczalną.

Przełomowa terapia limfocytami T została opracowana przez amerykańską firmę Atara Biotherapeutics. Naukowcy wyodrębnili komórki odpornościowe znane jako ATA188, które znajdują się u ludzi, którzy zwalczyli EBV, i podali je pacjentom ze stwardnieniem rozsianym poprzez zastrzyk.

Spośród 24 pacjentów, po roku, u 20, odnotowano oznaki spowolnienia postępu choroby. Po trzech latach poprawę zaobserwowano u 7 osób, a po kolejnych trzech u następnych 9. Zdaniem neurologów, tego typu wyniki są bardzo obiecujące.

Kiedy pacjent osiąga pewien poziom niepełnosprawności, rzadko udaje się odwrócić zmiany chorobowe. Przy dotychczasowym leczeniu nie można spodziewać się żadnej trwałej poprawy – podkreśla profesor Mark Freedman, neurolog z Uniwersytetu Ottawskiego.

Pracują nad terapią na stwardnienie rozsiane. Potrzebne są dalsze badania

Badacze zwracają uwagę, że aby w pełni ocenić skuteczność terapii, potrzebne są dalsze badania. Firma Atara Biotherapeutics prowadzi obecnie testy na 80 pacjentach. Dyrektor medyczny firmy dr Manher Joshi twierdzi, że badania mogą okazać się przełomem w leczeniu choroby.

Istnieje coraz więcej solidnych dowodów na to, że komórki plazmatyczne zakażone wirusem EBV odgrywają kluczową rolę w patogenezie stwardnienia rozsianego. Dane wskazują, że jeżeli terapia okaże się skuteczna, będziemy mogli spowolnić, zatrzymać, a nawet odwrócić postęp choroby – podkreśla.

Obejrzyj także: Ból w szyi okazał się poważną chorobą neurologiczną

Wybrane dla Ciebie
Przyszedł z wózkiem dziecięcym i go podpalił. Sceny w Cieszynie
Przyszedł z wózkiem dziecięcym i go podpalił. Sceny w Cieszynie
WHO alarmuje: odra wraca. Wzrost zakażeń w 95 krajach
WHO alarmuje: odra wraca. Wzrost zakażeń w 95 krajach
Prokuratura w Japonii żąda dożywocia. Wraca sprawa zabójcy Shinzo Abego
Prokuratura w Japonii żąda dożywocia. Wraca sprawa zabójcy Shinzo Abego
Zamroź to już dziś, a święta będą znacznie łatwiejsze. Lista najlepszego do zamrożenia jedzenia
Zamroź to już dziś, a święta będą znacznie łatwiejsze. Lista najlepszego do zamrożenia jedzenia
Wygląda jak peruka czarownicy. Park narodowy pokazał zdjęcia
Wygląda jak peruka czarownicy. Park narodowy pokazał zdjęcia
Niemcy ostrzegają. Krążą takie zdjęcia "policjantek"
Niemcy ostrzegają. Krążą takie zdjęcia "policjantek"
Najkrótszy dzień w roku. Zbliża się wielkimi krokami
Najkrótszy dzień w roku. Zbliża się wielkimi krokami
Mbappe dogoni Ronaldo? Rekord jest blisko
Mbappe dogoni Ronaldo? Rekord jest blisko
Nie było jeszcze 6:00. Ujęcia sprzed Aldi. Ustawiła się kolejka
Nie było jeszcze 6:00. Ujęcia sprzed Aldi. Ustawiła się kolejka
To naprawdę się stało. Wiadomo, kto prowadził. Akcja służb we Francji
To naprawdę się stało. Wiadomo, kto prowadził. Akcja służb we Francji
Ekwador: zastrzelono Mario Pineidę. Byłego piłkarza Barcelony de Guayaquil
Ekwador: zastrzelono Mario Pineidę. Byłego piłkarza Barcelony de Guayaquil
Ta kometa rozpaliła wyobraźnię świata. 19 grudnia znajdzie się blisko Ziemi
Ta kometa rozpaliła wyobraźnię świata. 19 grudnia znajdzie się blisko Ziemi