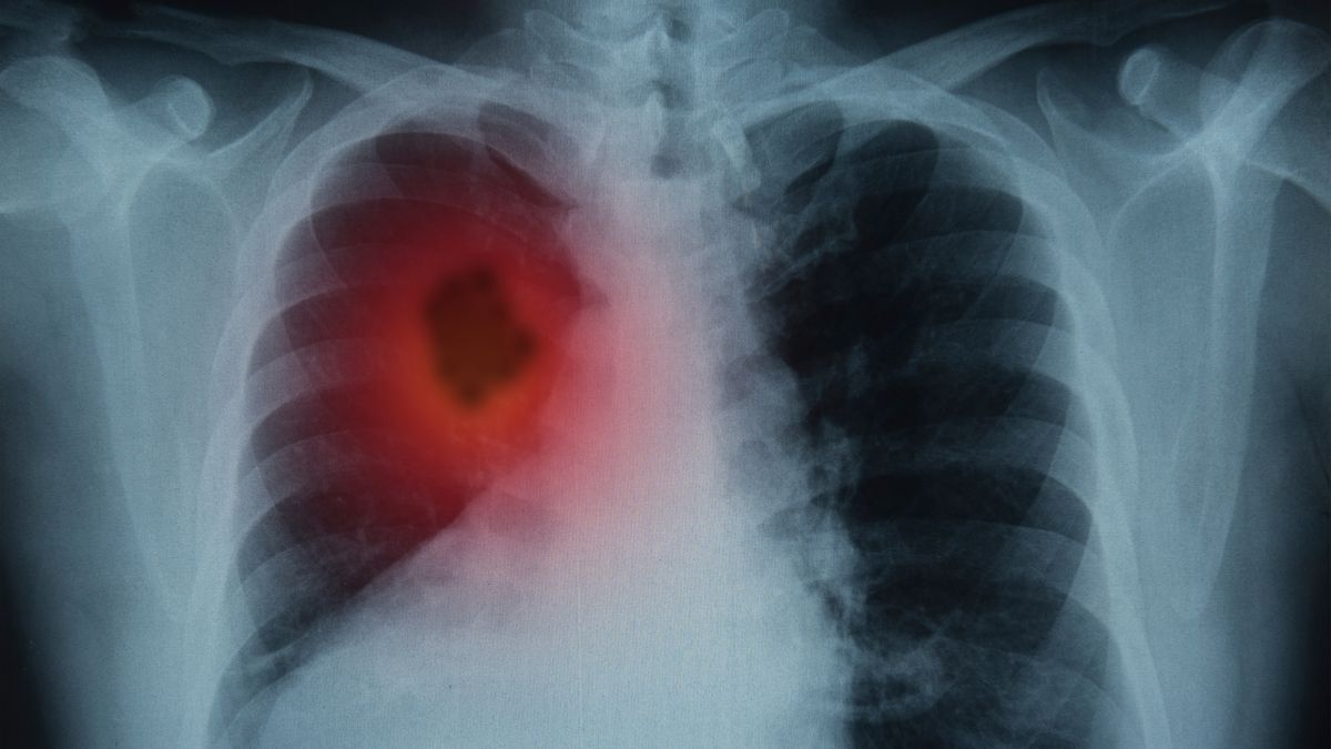
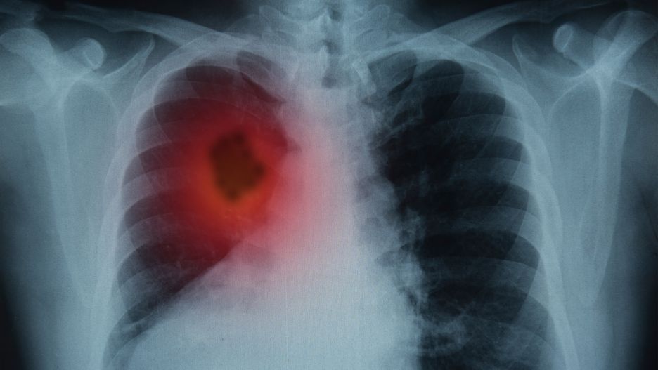
Objaw pojawia się na skórze. To znak, że w twoich płucach rozwija się rak

Rak płuc to nowotwór złośliwy, który na początku nie daje żadnych charakterystycznych symptomów. W zaawansowanym stadium rozwoju choroby pacjenci skarżą się na kaszel, problemy z oddychaniem i krwioplucie. Bardziej nietypowe objawy tego nowotworu można zauważyć na skórze. Sprawdź jakie.

Rak płuc może dawać nietypowe objawy

Zażółcenie skóry

Do nietypowych symptomów raka płuc można zaliczyć żółtaczkę. Ten objaw pojawia się, gdy choroba powoduje przerzuty do wątroby. Ze statystyk wynika, że 40 proc. pacjentów dotkniętych nowotworem płuc ma poważne problemy z tym narządem. Guz, który rozwija się w przewodach żółciowych, blokuje je, czego efektem jest żółknięcie skóry. W tym przypadku żółte zabarwienie występuje nie tylko na skórze, ale również na białku narządu wzroku.

Miejsce "must see" podczas wizyty w Leeds. Istnieje ponad 200 lat

Swędzenie skóry

Uporczywy świąd, który pomimo stosowania odpowiednich kremów, maści i innych kosmetyków nie ustępuje przez dłuższy czas, może być objawem poważnej choroby. Jeżeli swędzenie utrzymuje się przez ponad 6 tygodni, niezwłocznie powinniśmy udać się do lekarza. Poza swędzeniem chorzy nierzadko skarżą się też na nadmierną suchość skóry oraz pojawienie się na zgięciach kolan i łokci łuszczących się plam.

Brodawki łojotokowe

Kolejny niepokojący sygnał, który może oznaczać rozwój nowotworu płuc to powiększenie się brodawek od dawna obecnych na skórze lub wysiew brodawek łojotokowych. Tego rodzaju zmiany skórne pojawiają się najczęściej na tułowiu i powodują uporczywe swędzenie. Ten symptom nowotworu narządów wewnętrznych to zespół Lesera-Trelata.

Ciemne plamy pod pachami

Rogowacenie ciemne, czyli pojawienie się brązowych plam na ciele może mieć postać łagodną. Wtedy oznacza najczęściej otyłość, cukrzycę lub insulionooporność. Jeżeli jednak te zmiany skórne są złośliwe, mają postać przerostową, a skóra robi się zgrubiała i szorstka, wtedy może to świadczyć o nowotworze płuc. Ciemne plamy zazwyczaj występują w okolicach, pach, pachwin, pępka, szyi, pod kolanami i na zgięciach łokci.

Pamiętajmy, że im wcześniej nowotwór zostanie zdiagnozowany, tym większa szansa na powrót do zdrowia. Dlatego żadnego z wyżej wymienionych objawów skórnych nie wolno bagatelizować. Dotyczy to zwłaszcza osób palących papierosy.

Wybrane dla Ciebie
Wyniki Lotto 18.12.2025 – losowania Lotto, Lotto Plus, Multi Multi, Ekstra Pensja, Ekstra Premia, Mini Lotto, Kaskada
Wyniki Lotto 18.12.2025 – losowania Lotto, Lotto Plus, Multi Multi, Ekstra Pensja, Ekstra Premia, Mini Lotto, Kaskada
Zginął w strasznym wypadku. Oddali hołd 19-letniemu strażakowi
Zginął w strasznym wypadku. Oddali hołd 19-letniemu strażakowi
Nagle przestał być proboszczem. Parafianie w szoku. W tle dochodzenie
Nagle przestał być proboszczem. Parafianie w szoku. W tle dochodzenie
Puchar Świata. Aleksandra Król-Walas sięgnąła po medal
Puchar Świata. Aleksandra Król-Walas sięgnąła po medal
Po sieci krąży nagranie. "Boję się skręcać do własnego domu"
Po sieci krąży nagranie. "Boję się skręcać do własnego domu"
Tramwaj nie mógł przejechać. Przestawili auto rękami. Sceny w Krakowie
Tramwaj nie mógł przejechać. Przestawili auto rękami. Sceny w Krakowie
Przyszedł z wózkiem dziecięcym i go podpalił. Sceny w Cieszynie
Przyszedł z wózkiem dziecięcym i go podpalił. Sceny w Cieszynie
WHO alarmuje: odra wraca. Wzrost zakażeń w 95 krajach
WHO alarmuje: odra wraca. Wzrost zakażeń w 95 krajach
Prokuratura w Japonii żąda dożywocia. Wraca sprawa zabójcy Shinzo Abego
Prokuratura w Japonii żąda dożywocia. Wraca sprawa zabójcy Shinzo Abego
Zamroź to już dziś, a święta będą znacznie łatwiejsze. Lista najlepszego do zamrożenia jedzenia
Zamroź to już dziś, a święta będą znacznie łatwiejsze. Lista najlepszego do zamrożenia jedzenia
"Lodowe włosy". Park narodowy pokazał zdjęcia
"Lodowe włosy". Park narodowy pokazał zdjęcia
Niemcy ostrzegają. Krążą takie zdjęcia "policjantek"
Niemcy ostrzegają. Krążą takie zdjęcia "policjantek"