Gruźlica powraca w USA. Wskaźniki zachorowań rosną

Gruźlica powraca i rozprzestrzenia się w Stanach Zjednoczonych. Jak podają zagraniczne media, wskaźniki zachorowań rosną. Najbardziej narażone są dzieci w wieku czterech lat i młodsze.

Gruźlica powraca w USA. Wskaźniki zachorowań rosnąGruźlica powraca w USA. Wskaźniki zachorowań rosną
Źródło zdjęć: © Pixabay

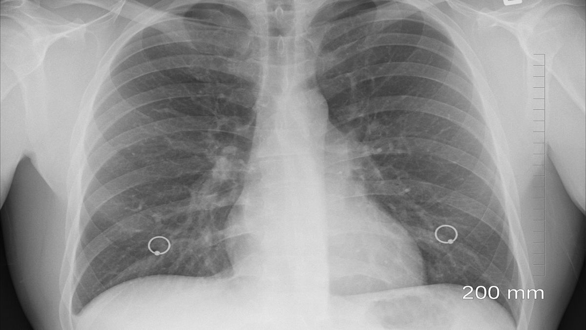
Gruźlica to bakteryjna choroba infekcyjna. Najczęściej atakuje płuca ze względu na panująca korzystne dla bakterii warunki do życia. Zdarza się też, że objawia się zmianami na skórze, w kościach, mózgu czy węzłach chłonnych.

Jak podaje synevo.pl, gruźlica wciąż występuje powszechnie na świecie. Według oficjalnych danych, obecnie wskaźniki zachorowań rosną w Stanach Zjednoczonych.

W 2022 roku 2,5 na 100 tys. Amerykanów zaraziło się gruźlicą, jak informuje Centrum Kontroli i Zapobiegania Chorobom (CDC). To wzrost z 2,4 na 100 tys. w 2021 r., ale nadal poniżej wskaźnika sprzed pandemii koronawirusa, który wynosił 2,7. Zaniżona statystyka wynika z powodu nierejestrowania choroby w czasie COVID-19.

Dalsza część artykułu pod materiałem wideo

Epidemia gruźlicy. Ta choroba przez stulecia zabiła miliony

Gruźlica powraca w USA. Wskaźniki zachorowań rosną

Teraz, gdy świat medycyny nie jest skupiony jedynie na koronawirusie, wskaźniki ciężkich infekcji bakteryjnych rosną. Dotykają zwłaszcza dzieci. WHO uznaje gruźlicę jako poważną chorobę.

Kiedyś była to jedna z najbardziej śmiercionośnych chorób na świecie. Była śmiertelna dla większej części świata. Dopiero w XX wieku odkryto pojawienie się metod leczenia, takich jak streptomycyna i kwas paraaminosalicylowy.

Mimo leków, choroba wciąż jest wysoce śmiertelna, jeśli nie jest leczona. Problem dotyka osoby głównie mieszkające w krajach rozwijających się, gdzie lek nie jest tak łatwo dostępny.

Gruźlica występuje na całym świecie, jednak najczęściej w Afryce Subsaharyjskiej, Europie Wschodniej i Azji. W obszarach świata, gdzie ludzie przechodzą badania i są wcześnie diagnozowani, skuteczność leczenia może sięgać blisko 90 procent. Często ta choroba dotyka zamknięte ośrodki takie jak więzienia czy ośrodki poprawcze.

Źródło artykułu: o2pl
Wybrane dla Ciebie
Wyniki Lotto 24.02.2026 – losowania Lotto, Lotto Plus, Euro Jackpot, Multi Multi, Ekstra Pensja, Ekstra Premia, Mini Lotto, Kaskada
Wyniki Lotto 24.02.2026 – losowania Lotto, Lotto Plus, Euro Jackpot, Multi Multi, Ekstra Pensja, Ekstra Premia, Mini Lotto, Kaskada
Nieobyczajny wybryk na klatce schodowej. "Pani Izabela została ukarana mandatem"
Nieobyczajny wybryk na klatce schodowej. "Pani Izabela została ukarana mandatem"
Tragedia o poranku. Nie żyje strażak. Miał zaledwie 40 lat
Tragedia o poranku. Nie żyje strażak. Miał zaledwie 40 lat
Dziennikarka nagrała drogę na granicy polsko-słowackiej. Napisała jedno zdanie
Dziennikarka nagrała drogę na granicy polsko-słowackiej. Napisała jedno zdanie
Grodkowice. Rowerzysta zderzył się z pieszym. Nie żyje
Grodkowice. Rowerzysta zderzył się z pieszym. Nie żyje
Apartament Epsteina w Paryżu. Policja publikuje nowe zdjęcia
Apartament Epsteina w Paryżu. Policja publikuje nowe zdjęcia
Opłaty wzrosły o 1000 zł. Mieszkańcy osiedla w Skórczu są załamani
Opłaty wzrosły o 1000 zł. Mieszkańcy osiedla w Skórczu są załamani
Nynek nie przeżył. Właściciel zgotował mu piekło. "Kara jest śmieszna"
Nynek nie przeżył. Właściciel zgotował mu piekło. "Kara jest śmieszna"
Leśnicy pokazali zdjęcie. Ten grzyb świadczy o jednym
Leśnicy pokazali zdjęcie. Ten grzyb świadczy o jednym
Przeżegnała się i ukradła skarbonkę z kościoła. Parafia publikuje nagrania
Przeżegnała się i ukradła skarbonkę z kościoła. Parafia publikuje nagrania
14,5 mln funtów. Reddit ukarany za wykorzystanie danych dzieci
14,5 mln funtów. Reddit ukarany za wykorzystanie danych dzieci
Ukrainiec zdegustowany. Zobaczył w hostelu pracowniczym. Biegał po bojlerze
Ukrainiec zdegustowany. Zobaczył w hostelu pracowniczym. Biegał po bojlerze