Sprawdzamy pogodę dla Ciebie...
POCZTA
QUIZY
O2KAZJE
MENU
Blisko Ludzi
Jak żyć?
Quizy
Rozrywka
Pogoda
Biznes
Kryminalne
Sport
O2KAZJE
Więcej
ZOBACZ TAKŻE:
Kategoria Biznes
Budownictwo
Dawka dobrego newsa
Dieta
Film
Gry
Kobieta
Kuchnia
Krzyżówki
Ludzie
Motoryzacja
Plotki
Polityka
Praca
Przepisy
Świat
Technologia
Turystyka
Wydarzenia
Zdrowie
Najnowsze
Ciekawostki
JAR
Publikacje autora JAR
127
Dodane 4 lata temu
Google wywołało zamieszanie. Chodzi o tajemnicze przejście
266
Dodane 4 lata temu
Wybuch pieca na ekogorszek. Rodzinny dramat w Wielkopolsce
Dodane 4 lata temu
"Obsesja Meghan". Media donoszą o tym, jak okłamała księcia Harry'ego
Dodane 4 lata temu
38-latka wszystko straciła. Uwierzyła "amerykańskiemu żołnierzowi"
Dodane 4 lata temu
Niezwykła historia z Bangladeszu. Matka i syn odnaleźli się po 70 latach
Dodane 4 lata temu
Polka zaginęła w Szwecji. Przełomowe odkrycie ws. zaginięcia Beaty Ratzman
Dodane 4 lata temu
Tragedia w Tatrach. Śmierć turysty na Nosalu
Dodane 4 lata temu
Tylko w Warszawie. Budka do rozmów ze zmarłymi
Dodane 4 lata temu
Skandal w Wielkopolsce. Tak 59-latek chciał wieźć dzieci na wycieczkę
Dodane 4 lata temu
300 zł kary za brak maseczki podczas randki. Pan Patryk uniewinniony
1709
Dodane 4 lata temu
Skandal w szkole w Bytowie. Uczniowie nagrali nauczycielkę. Jest wideo
434
Dodane 4 lata temu
Polka zaginęła w Szwecji. Mąż uprowadził 32-letnią Beatę Ratzman?
Dodane 4 lata temu
Europosłanka słynie z niecodziennych pomysłów. Pracownicy zdradzają szczegóły
282
Dodane 4 lata temu
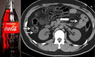
Wypił 1,5 litra coli. Nie żyje. Podali przyczynę zgonu 22-latka
182
Dodane 4 lata temu
Polka poznała Tunezyjczyka. Na wakacjach przeszła piekło
Dodane 4 lata temu
33-latek potknął się i upadł za koparką, gdy cofała. Makabra na budowie
140
Dodane 4 lata temu
Zaskakująca scena w TVN24. Polityk powiedział, co zrobi z prezentem od Olejnik
Dodane 4 lata temu
Gigantyczne pieniądze dla władzy. Premier rozda miliony
1
...
270
271
272
273
274
...
294
Zobacz także:
Polecane
Najnowsze
Popularne
Działał na rzecz Rosjan. Znaleźli związek z głośnym zabójstwem
Nikodem Marecki zginął w wypadku. Wiemy, co z kierowcą
Szok w Nowym Jorku. Pastor podczas mszy ogłosił zmianę płci
Ojciec i trójka dzieci. Ujęcie z Opola. Wykonał je o 8:00
Uczniowie znaleźli ciało Mateusza w sali. Poruszające słowa żony
Rozmawiali z córką Putina. Powiedzieli jej o wojnie. Oto reakcja
Wyniki Lotto 05.12.2025 – losowania Euro Jackpot, Multi Multi, Ekstra Pensja, Ekstra Premia, Mini Lotto, Kaskada
Dostałeś takiego maila? Lepiej uważaj. Ministerstwo Finansów ostrzega
MŚ 2026. Znamy potencjalnych rywali polskiej reprezentacji
Ukrywał się w Alicante. Hiszpańska policja zatrzymała 47-letniego Polaka
FIFA nagrodziła Donalda Trumpa. "Wyjątkowe działania na rzecz pokoju"
Pentagon stawia ultimatum Europie? Padła konkretna data
"Jak kadr z filmu kryminalnego". Pokazali, co znaleźli w lesie
Katastrofalne skutki cyklonu na rajskiej wyspie. Wciąż szukają 214 osób
Drony nad bazą atomowych okrętów podwodnych. Francuskie wojsko otworzyło ogień
Dwulatek wpadł do szamba. Teraz szpital przekazał dobre wieści
Krzyżówka z wiedzy ogólnej. Tylko mistrz odkryje wszystkie hasła
Rodzinny spacer zmienił się w dramat. Dzieci pochylały się nad ojcem
Policja przyłapana. "To będzie podwójna kara". Ostra reakcja
To on szuka "złotego pociągu". Właśnie się ujawnił
Szedł obok placu zabaw. Nagle taki widok. "Prawdziwy hit sezonu"
Premier Indii mówił o pokoju. Spójrzcie na twarz Putina
Pojawił się w centrum Wrocławia. Kierowcy musieli omijać go łukiem
Portugalia zaostrza przepisy deportacyjne dla nielegalnych imigrantów
8 miliardów funtów na wsparcie Ukrainy? Brytyjczycy mają plan
Miał już dość. Ujęcie sprzed Lidla. Wywiesił karteczkę
Wyż z Rosji nadal nad Polską. Należy spodziewać się opadów
Zaginęła 15-latka z Konstantynowa Łódzkiego. Jest nowy trop
Granica z Białorusią. Przedłużono strefę buforową
Mikołaje okładali się przy owocach. Sceny w sklepie w Baku
Od ofiary do oszustki. Emerytka zamieszana w przekręt na 1,4 mln zł
Dramat w powietrzu. Niemiec zmarł w samolocie
Rasistowski atak z użyciem broni pneumatycznej. Jest wyrok
Krzyżówka językowa. Tylko mistrz poradzi sobie z wszystkimi hasłami
Żołnierz chciał się poddać. Rosjanie zaczęli egzekucję
Łatwy sposób na czyste ramy okienne. Odzyskają biały kolor
Europejscy liderzy ostrzegają Zełenskiego. Chodzi o Putina
Tragiczny wybuch pieca w Częstochowie. Nie żyje starsza kobieta
Plaster na dłoni Trumpa. Jego rzeczniczka zabrała głos
Kupił czekoladę na jarmarku. Aż się zagotował, gdy ją otworzył
Wygrała 120 mln euro. Większości już nie ma. Zaskakujące, co zrobiła
Jechał rowerem. I nagle coś takiego. "Kaptur, słuchawki"
Przechwycili rozkazy Rosjan. Oto co planują. Może być katastrofa
"Łowcy pedofilów" zatrzymali niewinnego mężczyznę. Sam wezwał policję
Działał na rzecz Rosjan. Znaleźli związek z głośnym zabójstwem
Nikodem Marecki zginął w wypadku. Wiemy, co z kierowcą
Zbiórka dla synów majora Krakowiana przedłużona. Taką kwotę zebrano
Katastrofa śmigłowca. Wiadomo, kim były ofiary. To znani w regionie bracia
"Batman na hulajnodze". Nagranie ma ponad pół miliona wyświetleń
Szok w Nowym Jorku. Pastor podczas mszy ogłosił zmianę płci
Ojciec i trójka dzieci. Ujęcie z Opola. Wykonał je o 8:00
Uczniowie znaleźli ciało Mateusza w sali. Poruszające słowa żony
Służby użyły broni chemicznej w Gruzji? Wstrząsające doniesienia
Rozmawiali z córką Putina. Powiedzieli jej o wojnie. Oto reakcja
Rosyjski wojskowy nie gryzł się w język. "Ocena niedostateczna"
Śledzą żony urzędników po nocach. Doniesienia z Korei Północnej
Miała lecieć do rodziny. Wywieźli ją do Hondurasu. Skandal w USA
Lidl przyznaje się do błędu. Internauta miał rację. Zmiana w sklepach
Rodzinny spacer zmienił się w dramat. Dzieci pochylały się nad ojcem
Wyciekły kulisy spotkania. Putin poruszył ulubiony temat
Wybuch telefonu. Osiem osób w szpitalu. Dramatyczna noc
Obrazoburcze sceny na grobie w Paryżu. Polski przewodnik tłumaczy
Głośno o zachowaniu Trumpa. Wszystko się nagrało
Zobaczył karteczkę. Wściekł się. "To jest nielegalne"
Mieli pracować w Rosji, trafili na front. Rekrutowała ich córka prezydenta RPA
Klub był synonimem luksusu w PRL. Teraz jest ruiną
10-letnia Marysia w drodze do szkoły spotkała napastnika. Rodzice żądają aresztu
Premier Indii mówił o pokoju. Spójrzcie na twarz Putina
Nie żyje ks. Jacek Wichorowski. Przed śmiercią pokazał niepokojące zdjęcie
Była 8:00 rano. Taki widok na plaży. Spacerowiczka wezwała służby
Leśnicy są wstrząśnięci. Od razu zaapelowali. "Nie zbliżać się"
Jechał rowerem po chodniku. I nagle taki manewr. Aż wrzasnęła
Była 2:00 w nocy. Mundurowi zajrzeli do bagażnika. Zatrzymano trzech kolegów
Kupił czekoladę na jarmarku. Aż się zagotował, gdy ją otworzył
Niemcy alarmują ws. 18-latka z Polski. Podali niepokojące wieści
Nie tylko Zakopane. Masowe kontrole w całym kraju
"Sztylet Putina" wbity w Polskę? "To już nie są zwykli żołnierze"
Miał już dość. Ujęcie sprzed Lidla. Wywiesił karteczkę
Wystąpił problem z wyświetleniem strony
Kliknij tutaj, aby wyświetlić